肿瘤一直是威胁人类健康的重大疾病之一,人类也一直为研发高效癌症疗法而付出努力,并催生了包括手术、化疗和放疗在内的多种治疗手段。然而,免疫疗法通过特异性激活免疫系统来靶向清除肿瘤细胞,已成为癌症治疗的新兴前沿方向。其中,树突状细胞(DC)疫苗作为肿瘤免疫治疗的一种重要手段,为肿瘤患者带来了新的希望。
关于DC疫苗
树突状细胞作为先天免疫细胞的重要类型,在机体防御系统的第一道防线中发挥着关键作用。树突状细胞是一类专职抗原呈递细胞,在T细胞免疫应答的发生发展中起着核心作用。

树突状细胞具有特化的功能,能够高效捕获并加工抗原,将蛋白质分解为肽段,并将这些肽段呈递在主要组织相容性复合体(MHC)分子上,从而被T细胞识别。
在未成熟(静息)状态下,它们主要分布于各种组织中,负责抗原的采样。当受到组织内病理变化的激活后,这些细胞会迁移至引流淋巴结,并以成熟(活化)状态存在。此时,它们将组织中摄取的抗原物质加工成肽段,并在协同刺激分子与辅助分子的免疫激活环境下,通过人类白细胞抗原(HLA)将这些肽段呈递出来。能够识别这些肽段的T细胞会被激活、增殖并分化为效应细胞,进而执行细胞适应性免疫应答的各种功能,包括对靶细胞的杀伤作用。
树突状细胞疫苗旨在利用树突状细胞的这一关键功能进行治疗:通过给患者接种负载肿瘤相关抗原的树突状细胞,使其迁移至局部淋巴结,并在HLA分子上呈递源自TAA的肽段,从而启动抗肿瘤T细胞免疫应答。这种免疫应答具有选择性杀伤肿瘤细胞的能力,并可通过免疫记忆效应防止肿瘤复发。
DC疫苗的探索与突破
树突状细胞(DC)是由加拿大科学家Steinman于1973年发现的。因其形似树枝状或树突状的探查结构而得名,它们是适应性免疫应答的启动者,因而被称为免疫系统的“哨兵”。Steinman因这一重大发现获得了2011年诺贝尔生理学或医学奖。
1996年报道的首个树突状细胞(DC)疫苗临床试验,针对的是低级别B细胞滤泡性淋巴瘤患者,该试验采用了从患者外周血中分离的自体树突状细胞,该研究证实,给予每例患者3剂次、每剂5×10⁶个树突状细胞,就足以诱导出可测量的抗肿瘤T细胞免疫反应,并在临床层面产生疗效,其中1例患者实现了完全缓解。这一成功经验促使研究者进一步开展了多项前列腺癌相关的树突状细胞疫苗试验,最终2010年首个癌症细胞治疗药物Sipuleucel-T获批上市。目前针对黑色素瘤、肺癌、宫颈癌等实体瘤,DC疫苗的临床研究已显示出潜力。
肺癌:DC疫苗联合方案实现肿瘤完全消失
一名63岁的EGFR突变肺腺癌患者,既往未接受过化疗。在接受厄洛替尼治疗约一个月的时间后,患者在继续服用厄洛替尼的基础上联合了树突状细胞疫苗。值得注意的是,在接受8剂WT1/MUC1-DC疫苗与厄洛替尼联合治疗237天后,肿瘤体积显著缩小至12毫米,降幅达65.7%。基于观察到的积极疗效,患者主动要求将厄洛替尼剂量减少,在治疗开始后第321天CT扫描未再检出肺癌病灶。患者在接种15剂WT1/MUC1-DC疫苗的过程中均未记录到任何不良反应。肿瘤消失的这一状态至少在治疗开始后587天内持续得到验证,期间未出现复发或转移迹象(2017年12月至2019年11月)。

黑色素瘤:III期临床试验证实显著生存获益
2024年2月23日,国际顶级期刊《Nature Communications》发表了一项重要研究,报道了自体天然树突状细胞(nDC)疫苗在IIIB/C期黑色素瘤患者中的III期临床试验(NCT02993315)结果。
该研究共纳入99例患者,接受自体nDC疫苗治疗,数据显示:中位无复发生存期(RFS)为 12.7 个月,2年无复发生存率(RFS)为36.8%,中位生存期(OS)未达到,84.7%的患者生存达到2年时间。

研究还展示了一例典型病例:一位黑色素瘤患者在接受3个周期nDC疫苗治疗后,肺部转移灶明显缩小,进一步证明了该疗法的潜在疗效。

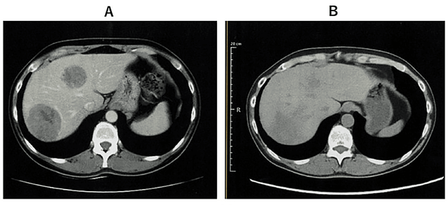
宫颈癌:联合治疗方案实现肝转移灶清零
2024年3月28日,医学期刊《Cureus》报道了一例晚期宫颈癌患者通过WT1-DC疫苗+纳武利尤单抗等联合疗法成功实现肿瘤完全消退的突破性病例。
患者为50多岁女性,既往接受了手术、放化疗,但很快便出现淋巴结转移(右锁骨上窝、气管旁)及肝转移。更改方案1个月后肝转移灶仍旧快速进展。
由于肝脏60%体积已被两个巨大转移灶占据,接受全肝放疗后,转移灶显著缩小。随后,医生尝试创新性免疫联合疗法:肾母细胞瘤 1 脉冲树突状细胞疫苗疗法(WT1-DC)+纳武利尤单抗。幸运的是,第5次WT1-DC注射后,CT显示肝转移灶完全消失。治疗期间出现高热(≥39°C),但可自行缓解。

除了上述肿瘤外,DC细胞疫苗还在其他多种肿瘤的治疗中进行了研究和应用,如乳腺癌、结直肠癌等,临床试验结果显示DC细胞疫苗在这些肿瘤的治疗中具有一定的疗效和安全性。
结语
目前,基于树突状细胞(DC)的疫苗正逐渐成为癌症免疫治疗领域中一项突破性的前沿方向,这一创新方法利用树突状细胞独特的抗原呈递能力,调动人体自身的天然免疫防御系统来对抗癌症。在多种癌症类型的临床前和临床研究中,此类疫苗已经展现出令人鼓舞的成果。尽管DC疫苗仍然面临着许多挑战,但其能够全面激活适应性免疫系统的能力,使其具有独特的优势。随着制造工艺的改进以及与其他免疫疗法联合应用的优化,基于DC的疗法在补充和增强现有癌症治疗模式方面展现出巨大潜力,相信DC细胞疫苗将在肿瘤治疗领域发挥越来越重要的作用。