病例回顾
临床资料
患者女性,76 岁,已婚,农民,因头昏乏力 8 月入院就诊。患者于 8 月前无明显诱因下出现头昏、乏力、呈阵发性发作,活动后明显,未经检查及治疗。
无恶心呕吐,无反酸嗳气,有腹泻,精神欠佳,食欲一般,喜欢吃稀饭,睡眠正常,小便正常。曾贫血有输血史(贫血原因不明)。
体格检查:神志清楚,全身肤色偏黄。
实验室检查结合临床考虑缺铁性贫血(重度贫血)。
超声所见
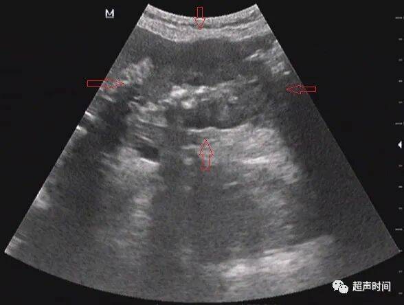
胃窦壁不规则增厚,回声减低, CDFI :其内可见高阻血流。胃窦壁僵直,探头按压长时间不蠕动。余胃壁蠕动良好。
超声提示:胃窦病变,考虑胃窦癌(建议胃镜活检及增强 CT 检查)

图 1

图 2

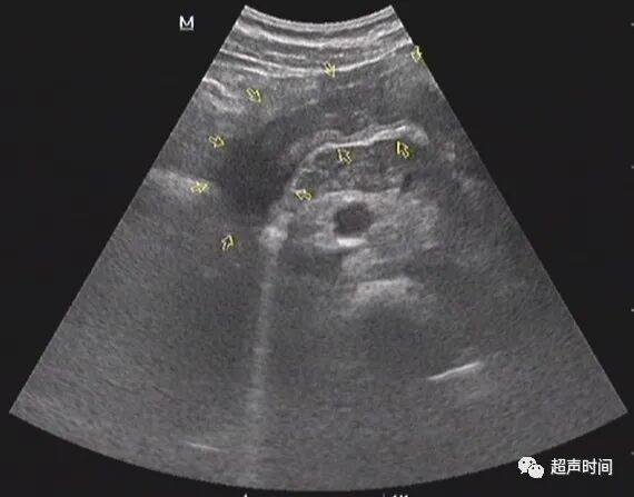
图 3 胃窦纵切:胃窦壁不规则增厚,回声减低,僵直不蠕动

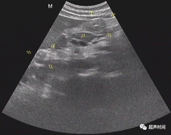
图 4 胃窦横切呈「假肾征」,提示胃壁异常增厚

图 5

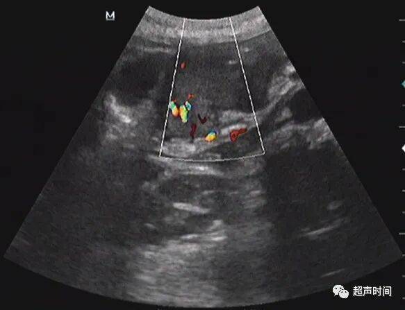
图 6 CDFI : 增厚的胃窦壁内可见粗大的高阻血流

图 7 镜下所见:胃窦大弯看见一新生物隆起,表面糜烂坏死,周边粘膜充血、水肿,触之易出血,取检弹性差

图 8 病理结果:胃窦,符合中分化腺癌( Lauren ,s 分型:肠型)
病例讨论
胃癌的病因有多种因素:吸烟、饮酒,盐摄入量高、爱吃腌制、熏制食物。幽门螺杆菌感染,恶性贫血有关的胃粘膜萎缩和肠化生、胃息肉都是引发胃癌的有关因素。
根据胃癌的组织病理学特征可分为腺癌、腺鳞状细胞癌、鳞状细胞癌、未分化癌等。
临床表现
依据胃癌发生的部位不同,其临床表现有很大差别。位于贲门食管接合处的肿瘤,早期就会有吞咽困难或消化不良,也因此通过胃镜检查确诊。
胃底或胃体较大的肿瘤或溃疡病变,会引起消化不良和贫血症状或表现为出血。在胃癌晚期,多数病人会有明显的食欲减退和体重下降。
若全胃受累胃腔缩窄、胃壁僵硬如革囊状,称为皮革胃,恶性度极高,发生转移早。
超声诊断经验
声像条件可以的病人在做肝胆脾胰彩超检查时,可以看见部分胃组织(剑突下纵切可以看见贲门与食管连接处及胃窦横切面。调整探头可见胃窦横切面及部分胃底)。
这时重点观察胃壁是否增厚(正常胃壁厚约 5 mm 左右),有无占位,探头按压蠕动如何。
如果观察到胃壁增厚(厚度达到 10 mm )回声减低、内高阻血流、僵直不蠕动,发现其中任意一项,就可以提示胃异常病变,建议胃镜检查。
有些胃癌的病人临床症状不典型,或患者不能提供清晰的病史,临床没考虑到胃部问题,也没做过胃镜检查,这时在做肝胆胰脾的彩超时,就可以检出胃可视范围内较典型的病变,为患者尽早查明病因。
腹部超声可探及部分胃正常的切面,如下:

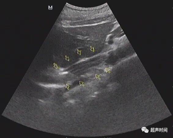
图 9 同一切面:左侧箭头标识食管横切,右侧箭头标识胃窦横切

图 10 箭头标识贲门食管连接处上段食管纵切

图 11 正常的胃底壁,测得胃底壁厚 0.52 cm

图 12 正常的胃窦纵切
鉴别诊断
因为胃周边的组织较多,有胰腺、肠管、肝脏及腹膜后组织,发现异常时要注意鉴别病变来源。应从胃底连续扫查到胃窦,异常地方要纵切、横切结合观察,如果不好鉴别可让患者喝水把胃充盈起来看,就能更好的鉴别是不是胃部病变。
题图及文中图片来源 / 作者提供