一根特殊的“安全带”
在宫颈处温柔收紧
守护住了两个来之不易的小生命
【幸孕双胎,却遭遇危机】
王女士(化名)婚后求子多年未能如愿,6前年诊断多囊卵巢综合征,2023年做过行宫腹腔镜不孕症探查术。
之后,自然怀孕的希望越来越渺茫,只能选择试管婴儿。顺利怀上双胞胎后,全家都沉浸在期待中。
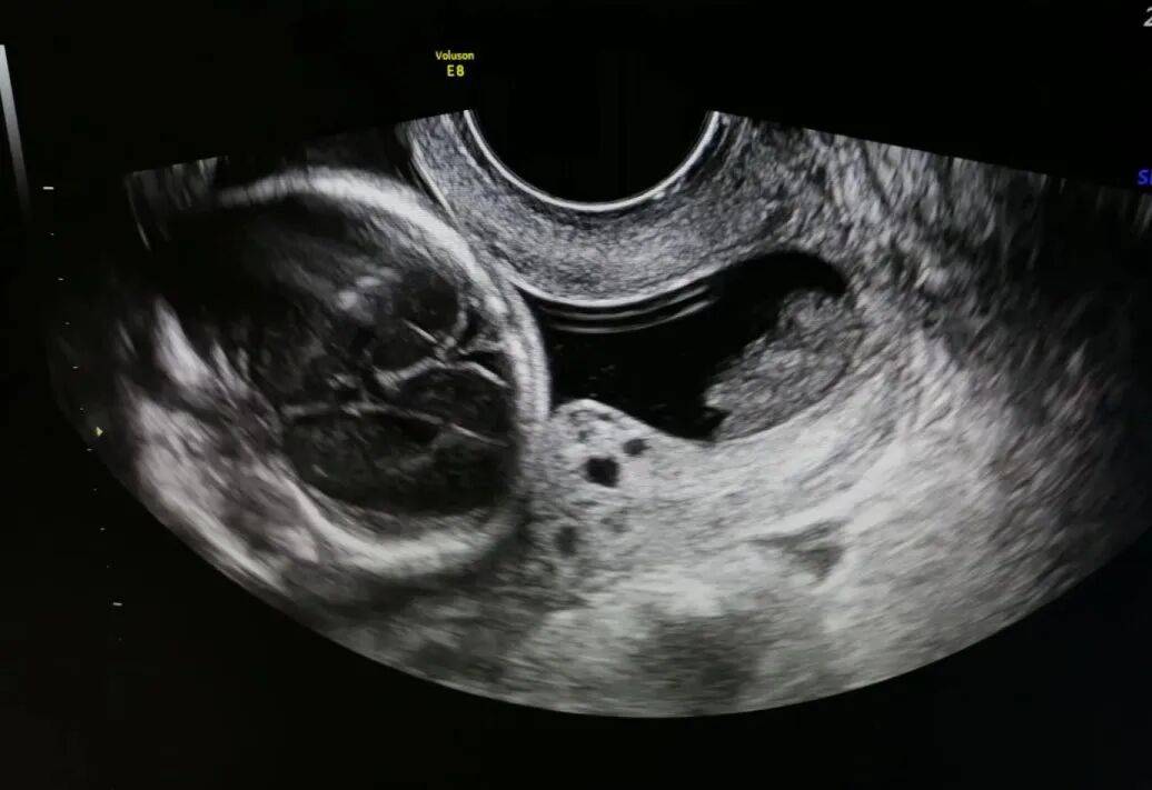
怀孕23周,本该是相对平稳的时期,王女士来院进行四维彩超检查,却发现了“异常警报”。

超声影像清晰显示:宫颈内口已呈漏斗状开放,前后径约6mm,宫颈管扩张7mm,仅剩的宫颈管闭合段长度仅约18mm。诊断为"双胎妊娠合并宫颈机能不全"。
【生命之门需要安全屏障】
诊断明确且紧急,胎儿孕周尚小,必须立即干预。
我院妇产科团队迅速行动,为王女士完善了术前检查,并组织了紧急会诊,决定实施经阴道宫颈环扎术,与王女士及家人充分沟通后,准备手术。
【宫颈环扎术托起希望】

在麻醉科等团队的密切协作下,妇产科病区主任赵美银带领团队为王女士实施手术,她师从国内知名产科专家刘铭教授,尤其擅长宫颈环扎术。
术中发现宫颈光滑,宫口已经开了1.5cm,可以看到羊膜囊...赵主任利用娴熟又精准的手术技巧,顺利为两个宝宝系上了“安全带”,牢牢托起生命的希望。

术后至今,王女士情况稳定,超声复查显示良好,两个宝宝在宫内安然生长。

从精准诊断到顺利手术