王女士今年42岁,一个月前突发胸痛和腿痛,到他院就诊,被诊断为晚期肿瘤。
病理类型尚未明确之际,王女士的病情急转直下,突发严重急性肾功能不全,血肌酐水平飙升至592.7微摩尔/升,情况危急。
经人推荐,王女士怀着一线希望来到河南省胸科医院寻求救治。肿瘤内科主任李瑞杰接诊了王女士。李瑞杰发现王女士的病情非常复杂:肿瘤全身多发转移,病理类型未明确,同时肾脏几乎停止工作,必须依赖血液透析维持生命。
此时,治疗陷入困境:积极抗肿瘤可能加剧肾损伤,而放弃治疗则会导致病情快速恶化。李瑞杰团队面临严峻挑战。
在等待最终病理检查结果的关键一周内,李瑞杰团队果断采取血液透析替代肾功能的方式,为后续治疗争取时间。

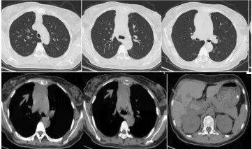
治疗前的医学影像图
病理检查提示:侵袭性B细胞淋巴瘤。
侵袭性B细胞淋巴瘤是血液系统里一种恶性程度高、发展快的肿瘤,它起源于B淋巴细胞,特点是肿瘤细胞增殖迅速、容易侵犯多个器官,早期症状可能不明显,但进展后可能出现淋巴结肿大、乏力、发热、盗汗、腹胀、腹痛等症状。
侵袭性B细胞淋巴瘤与肾衰竭常相互关联。肿瘤细胞可直接浸润肾脏、压迫尿路,或引发高尿酸血症、高钙血症等代谢问题,损伤肾功能。
“如何能在控制肿瘤的同时保护残存的肾功能,并确保药物不被透析清除,是治疗的关键。”李瑞杰在多学科专家会诊时说。
经过综合评估,李瑞杰团队为王女士制定了个体化治疗策略:在间断血液透析的支持下,谨慎使用新型靶向药物组合,并依据肾功能动态调整剂量,力求实现抗肿瘤治疗与肾功能保护的双重目标。

第一个周期治疗后的医学影像图
令人欣慰的是,在医患双方的共同努力下,第一个周期治疗后,王女士的肿瘤明显缩小,血肌酐水平明显下降,肾功能逐步恢复。她成功脱离了血液透析,摆脱了对“人工肾”的依赖。目前,王女士病情稳定,已进入后续治疗阶段。
对于这个病例,李瑞杰说,这次治疗不仅控制了肿瘤进展,更逆转了患者的急性肾衰竭结局,说明现代肿瘤治疗已能为患者制定高度个体化的方案,即使在病情复杂的情况下也能取得成功。(作者供职于河南省胸科医院)
责编:韦永柔
审核:李伟强
终审:杜海燕