近年来,免疫疗法发展迅速,为癌症治疗提供了超越手术,传统化疗和放疗的新方法,开创了癌症治疗的新时代。免疫检查点抑制剂和细胞免疫治疗是近年来的研究热点。癌症疫苗作为一种研究中的免疫疗法,在临床试验中也得到了广泛的研究,并显示出广阔的应用前景。
关于癌症疫苗
与平时我们所熟知的普通疫苗不同,癌症疫苗是为已经与癌症作斗争的患者准备的。传统疫苗旨在教会我们的免疫系统如何对抗疾病,就像新冠疫苗一样,通过训练身体产生特定的抗新冠病毒抗体,使免疫系统知道未来如何应对病毒。而癌症疫苗的目标是增强人体的免疫系统,使其能够识别和攻击癌细胞。

其实,我们体内的免疫系统是我们抵御癌症的最佳防御措施之一。但是癌细胞可以找到避免它的方法,一旦成功,癌症可能会发展和扩散。因此,仅仅免疫系统是不够的,它需要额外的帮助,癌症疫苗是一种选择。
使用疫苗对抗癌症的想法并不新鲜。许多年前,科学家发现了某些病毒与某些癌症风险增加之间的关系。例如,人乳头瘤病毒(HPV)与宫颈癌密切相关。
人乳头瘤病毒(HPV)是一种常见的病毒。大约80%的人在生活中的某个时候会感染这种病毒。虽然并非所有感染HPV的人都会患宫颈癌,但确实会增加风险。如今,许多国家为青少年(尤其是女孩)接种HPV疫苗。
癌症疫苗如何对抗癌症
正如传统疫苗使用部分病毒来预防疾病一样,癌症疫苗则利用癌细胞表面无害的蛋白质,也就是所谓的“抗原”。
当这些抗原进入人体后,它们应该会刺激免疫系统产生抗体来对抗它们,从而为身体提供“武器”来帮助杀死癌细胞。当然这并不是一件容易的事情,每个肿瘤都是不同的,它们表达的抗原也不同。许多肿瘤产生的抗原与人类自身细胞上的抗原非常相似。如果将这些抗原用于疫苗中,免疫系统可能会错误地损伤健康细胞,从而产生危险的副作用。
然而,科学家已经能够鉴定出一些仅出现在癌细胞上而不出现在健康细胞上的肿瘤特异性抗原,以及一些也可能出现在某些正常细胞上但在肿瘤中更常见的肿瘤相关抗原。这些抗原就像是“标记物”,可以帮助免疫系统瞄准癌细胞,同时尽量不伤害身体的健康部分。
癌症疫苗的类型
目前,科学家正在探索多种技术手段,包括肽疫苗、DNA疫苗、mRNA疫苗、树突状细胞(DC)疫苗和以修饰病毒为载体的疫苗。
肽类疫苗:这些疫苗由癌细胞中的特定蛋白质或这些蛋白质的小片段(称为肽)制成。目的是刺激免疫系统攻击携带这些蛋白质的癌细胞。
DNA/RNA疫苗:这种疫苗使用从癌细胞中提取的少量遗传物质,如DNA或RNA。当注射到体内时,这种遗传物质将“教会”人类细胞产生特定的蛋白质,从而激活免疫系统来识别和攻击癌细胞。简单地说,它们为人体产生能够引发免疫反应的蛋白质提供了“制造说明”。
树突状细胞(DC)疫苗:树突状细胞(DC)是人体内功能最强的抗原提呈细胞,它能够高效地摄取、加工处理和递呈抗原,激活T细胞,从而启动、调控和维持机体的免疫应答。DC肿瘤疫苗利用DC细胞提呈抗原、激活免疫的功能,借助DC细胞来指挥T细胞。通过体外诱导或构建特异性识别肿瘤的DC细胞,并将其扩增后回输到肿瘤患者体内,激活T细胞,对癌细胞进行有效杀伤,从而达到治疗肿瘤的目的。
重大突破!个性化疫苗助晚期患者长期存活超五年
9月18日,Geneos Therapeutics宣布其研发的个性化癌症免疫疗法取得了重大突破,两名接受治疗的侵袭性癌症患者已分别持续治疗超过六年和五年,两位患者均实现完全缓解,未发生严重不良事件,目前均保持无复发健康状态。
其中一例为多形性胶质母细胞瘤(GBM)患者,于21岁时确诊,接受了包括手术、放疗和替莫唑胺的标准治疗,以及两种实验性治疗。一年后,她接受了Geneos Therapeutics研发的GNOS-PV02(这是一种个性化DNA新抗原疫苗)治疗,目前该患者已达75个月无复发生存,距手术切除已87个月,近期刚获得硕士学位并从事支持其他癌症患者的工作。
另一例为61岁晚期肝细胞癌(HCC)患者,经肝切除、溶瘤病毒和索拉非尼治疗仍出现进展。加入Geneos的GT-30 1b/2a期试验后,该患者接受GNOS-PV02联合帕博利珠单抗治疗两年,随后转为GNOS-PV02单药治疗。该患者目前已达60个月无复发生存,近期喜迎第一个孙辈。其他接受治疗的患者也在持续向五年无复发生存目标迈进。
这一重大医学突破给无数癌症患者带来了新的希望。
疗效数据亮眼:联合治疗显威力,患者生存期显著延长
作为一款个性化DNA新抗原疫苗,GNOS-PV02能教会病人自身的免疫系统精准识别并攻击癌细胞,而且副作用小,可以长期使用,持续防止癌症复发。2024年4月,《自然医学》发表了GNOS-PV02联合帕博利珠单抗治疗肝细胞癌(HCC)的1/2期临床试验结果。这项研究共纳入36例患者,初步数据令人鼓舞:
客观缓解率(ORR)30.6%——11例患者肿瘤显著缩小,其中:
3例(8.3%)肿瘤完全消失(CR);
8例(22.2%)肿瘤部分缩小(PR),其中2例患者的靶病灶持续缩小(分别减少44%和59%)。
疾病控制率(DCR)55.6%-意味着超过一半的患者肿瘤生长得到控制。中位无进展生存期(mPFS)4.2个月,中位总生存期(mOS)19.9个月。

典型病例
患者11在接受联合治疗后,肝脏肿瘤持续缩小-第18周时肿瘤缩小59%,表明治疗可能带来长期获益。

其他代表性临床反应如下:

显著疗效:晚期胰腺癌疫苗表现亮眼
iNeo-Vac-P01是纽安津生物研发的一款基于肽的新抗原疫苗,在晚期胰腺癌中具有显著效果。2021年8月,《Frontiers in lmmunology》发表了iNeo-Vac-P01用于胰腺癌患者的临床疗效。共纳入7例符合条件的晚期胰腺癌患者,患者P02、P03、P06和P07在接种疫苗期间病情稳定。患者P01和P04在接种疫苗期间表现出部分反应,并且在接种疫苗后的一段时间内病情控制良好。疾病控制率(DCR)为85.7%,中位生存期(OS)为24.1个月,24个月时的存活率约为50%。7例患者中有3例在目标病灶处显示肿瘤缩小。

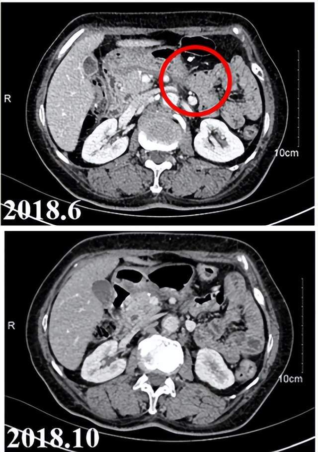
其中一名患者于2017年7月首次诊断为胰腺癌伴肝转移。既往接受化疗与胰腺切除术。然而仍旧进展,发现淋巴结转移。于是该患者接受了iNeo-Vac-P01治疗,并达到部分缓解(PR)状态,靶病灶大小较治疗前减小了54%。

综上可见,癌症疫苗具有显著的疗效效益。
结语
作为一种潜在的癌症治疗和预防手段,癌症疫苗在癌症控制中发挥着重要作用。HPV疫苗和乙型肝炎疫苗等预防性癌症疫苗取得了显著的成效,有效降低了相关癌症的发病风险。近年来,治疗性癌症疫苗也取得了很大进展。虽然它们中的大多数仍处于实验阶段,但具有很大的潜力,有望为更多的癌症患者提供新的治疗选择,最终实现长期缓解甚至治愈的目标。