病例回顾
李某,女, 39 岁,因自觉颈部不适就诊,行甲状腺超声检查。
超声所见
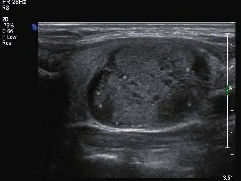
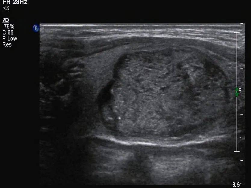
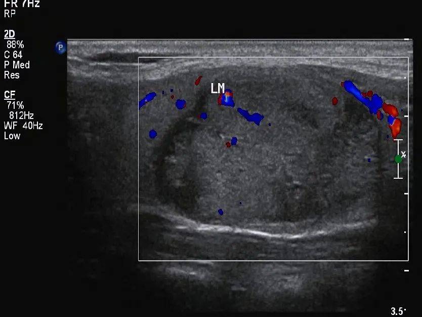
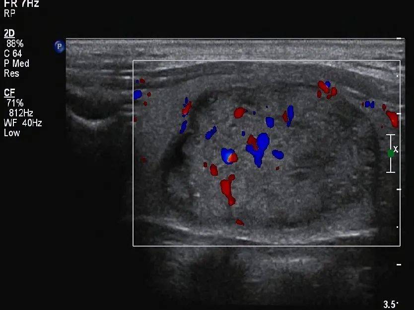
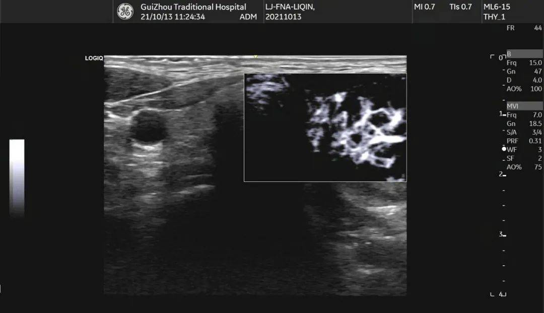
甲状腺形态失常,左侧叶增大,内部回声不均匀,见囊实混合性结节,大小约 33mm×19mm×28mm ,形态规则,边界清,纵横比 <1 ,内部以实性为主,实性部分见少许散在点状强回声(图 1 、图 2 ),结节周边伴低回声声晕,声晕厚度不均匀(图 3 ), CDFI:结节周边见环绕血流信号,内部见不规则分布的血流信号,局部较丰富(图 4 、图 5 )。SMI:结节局部微细血流信号丰富(图 6 )。

图 1 囊实性结节,以实性为主,内见多个散在分布的点状强回声

图 2 结节周边有环绕的低回声带,厚薄不均

图 3 CDFI 显示周边有半环状血流绕行

图 4 CDFI 示内部可见血流信号

图 5 血流频谱

图 6 MVI 显示结节内部局部丰富血流
接诊医师当时考虑腺瘤并部分囊性变,但结节内的点状强回声,是囊性浓缩胶质形成还是实性部分的微小钙化,难以鉴别,故评估为 C-TIRADS 4a 类结节,建议 FNA 。
后行超声引导下甲状腺细针穿刺细胞学检查。
最后病理结果:乳头状癌。

图 7 病理结果
病例讨论
甲状腺癌
甲状腺癌是最常见的内分泌恶性肿瘤之一,其发病率在世界范围内呈上升趋势。甲状腺癌在女性的发病率是男性的三倍。
甲状腺癌有多种类型,主要包括乳头状癌 (papillary thyroid carcinoma,PTC) 、滤泡状癌 (follicular thyroid carcinoma,FTC) 、髓样癌 (medullary thyroid carcinoma,MTC) 、未分化癌。其中乳头状甲状腺癌 (PTC) 是最常见的类型,约 75%~85%[1] 。
对点状强回声的评估
目前,全球有多个国家、多个版本的 TI-RADS 评分体系,这些体系各有差异,不完全相同。
但在众多的评估体系中,有一点意见高度一致,即关于甲状腺结节内部出现微钙化这一超声特征,均视作结节恶性的指征之一。
但在实际的临床工作中,除了典型的点状强回声微钙化,大家都容易诊断以外,对于部分结节内的强回声,倒底是微钙化还是浓缩的胶质,有的时候很难判断。
点状强回声类型[2]
微钙化
小于 1mm 的点状强回声,后方可不出现声影,也可出现声影。
彗星尾伪像
出现在结节囊性或实性区域的点状或短线状强回声,后方出现逐渐减弱的多条平行强回声,属于混响伪像的一种类型,大多由浓缩胶质所导致。
意义不明确的点状强回声
小于 1mm 的点状强回声,后方无声影,也无彗星尾伪像,难以判断是微钙化还是浓缩胶质或其他成分。
粗钙化
大于 1mm 的强回声,通常伴有声影。
周边钙化
钙化位于结节的边缘区域,可以呈连续或断续的环形或弧形,占据结节边缘的 1/3 以上。
据有关文献报道指出超声显示的各种类型钙化都有恶性的概率。彗星尾伪像可能代表了浓缩胶质、碎屑、微钙化等结构,其出现在囊性结节内高度提示良性,如果出现在实性结构内也不能用来排除恶性可能[2]。
微钙化、彗星尾伪像和意义不明确强回声这三种类型最难以鉴别,因此,专家建议当结节内出现点状强回声时,按照可疑特征优先的原则优先记录微钙化[2]。
对声晕的看法
声晕是指结节周围环绕的低回声或无回声区。
声晕分型
有声晕
按照声晕的厚度,可将声晕分为薄声晕和厚声晕;按照声晕厚度的均匀性,可将声晕分为厚度均匀声晕和厚度不均匀声晕。
无声晕
意义关于厚声晕和薄声晕的具体厚度阈值,目前尚没有统一标准,有文献采用 2mm 作为阈值,也有文献采用 1mm 作为阈值。
有研究认为薄声晕是良性肿瘤的重要征象,恶性结节常表现为声晕缺失或出现厚声晕[2]。

图 8
如上例中的结节,没有表现出 PTC 最常见的纵横比 >1 的典型特征,反而表现为厚薄不均的低回声晕环,这点在以后的工作中需要加以重视。
对结节内部回声的分析
本例中的结节为囊实性结节,需要注意区别囊实性结节和海绵状结节,不是只要看到囊实性成分混合的就是海绵状结节,需注意海绵状结节的定义,结节内部不能有实性成分。
结节内部回声类型
实性
结节完全由实性组织构成,不含任何囊性成分。
实性为主
实性成分占结节的 50% 以上。
囊性为主
实性成分占结节的 50% 以下。
囊性
结节完全或几乎完全呈囊性,囊壁薄,内部可出现纤细分隔,可出现沉积物。
海绵状
结节由大量微小囊腔构成,但无实性组织。
意义 实性属于可疑恶性超声特征,囊实性结节的恶性可能低于实性结节, 囊性或海绵状结节是一般为良性[2]。
囊实性结节中的点状强回声如何评估?
笔者认为需要仔细鉴别点状强回声出现在囊实性结节的囊性部分还是实性部分。
如果出现在囊性部分,呈短线状强回声,或者后方出现彗尾征,大多由浓缩胶质所导致;如果出现在实性部分,后方无明显彗尾征,倾向按照可疑微钙化记分,可以进一步 FNA 明确。
投稿:gulujun@dxy.cn
首发:丁香园超声时间
题图及文中图片来源:作者提供
参考文献:
[1]CARLINGT,UDELSMANR.Thyroid cancer[J].Annu Rev Med,2014,65:125-137.
[2]周建桥,尹立雪,魏玺,等.2020甲状腺结节超声恶性危险分层的中国指南:C-TIRADS.