本文报告一例因高铁蛋白血症入院的 39 岁男性患者。在病因学检查过程中,腹盆腔MRI偶然发现左肾囊性肿块,分类为Bosniak III类。患者接受了左肾部分切除术。组织学检查显示肿瘤细胞呈恶性增殖,具有多形性结构。免疫组化结果显示,肿瘤细胞弱表达角蛋白(AE1/AE3),但不表达碳酸酐酶IX(CA-IX)。鉴于这些异常发现及患者年龄较轻,遂行荧光原位杂交(FISH)检测,结果显示超过 80% 的肿瘤细胞存在TFE3基因重排。
背 景
铁蛋白是一种铁储存蛋白,在多种情况下可异常升高。在排除血液学、感染性或炎症性等主要原因后,应进一步排查酒精性或非酒精性脂肪肝以及肿瘤。高铁蛋白血症的诊断随后会触发一系列步骤以确定病因。在本文中,研究人员对高铁蛋白血症的进一步检查偶然发现了伴有免疫球蛋白重链增强子3转录因子(TFE3)染色体重排的肾细胞癌。小眼畸形相关转录因子(MiTF)家族基因的易位,尤其是TFE3/TFEB基因易位,与肾细胞癌之间的关联已广为人知。它们占所有肾癌的 1.6%-4%,且主要发生于年轻人。其形态学特征为多形性、异质性,且与肾脏中其他已知肿瘤实体存在重叠。免疫组化有助于确诊,但使用荧光原位杂交(FISH)的分子细胞遗传学是确诊的主要工具。
病 例
患者男,39 岁,总体健康状况良好,无特殊病史。因大量饮酒后出现高铁蛋白血症(浓度为 2000 μg/L,正常范围 <300 μg/L),收治于内科及专科。作为诊断检查的一部分,腹盆腔扫描偶然发现左肾上极存在囊性肿块。后续MRI检查证实该囊性肿瘤分类为Bosniak III类,大小约 6 cm,主要位于肾内(图1)。经多学科会诊后,建议行左肾部分切除术,并随后实施了该手术。

▲图1 正面MRI图像显示肾脏左上极存在囊性肿瘤
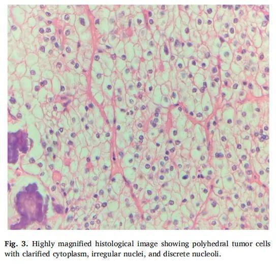
大体检查显示,肾部分切除标本带有一圈肾周脂肪。标本重 88 克,大小为 4×2×2 cm。切开后可见一个 3.7 cm的囊实性病变,伴有出血区域。组织学检查显示,肿瘤为恶性,呈多形性生长模式,可见腺泡状、乳头状及轻度致密的特征。肿瘤细胞胞质透明,核圆形、边缘不规则,染色质不均,低倍镜(×4)下有时可见核仁。未见横纹肌样或肉瘤样成分。乳头轴内可见大量钙化及钙球。可见纤细的血管网及少量含铁血黄素。其他区域可见肿瘤神经周鞘。肿瘤增殖在某些区域突破包膜,延伸至肾周脂肪组织,但未累及手术切缘。肿瘤至少分类为pT3a期(图2、图3)。

▲图2 低倍组织学图像

▲图3 高倍放大组织学图像显示多面体肿瘤细胞,细胞质透明,细胞核不规则,核仁清晰可见
在免疫组化中,肿瘤细胞对角蛋白(AE1/AE3)标志物呈低表达,且对抗碳酸酐酶IX抗体和HMB-45抗体未显示阳性反应(图4)。

▲图4 泛细胞角蛋白(AE1/AE3)染色后的免疫组化图像
这些异常的形态学和表型特征,结合患者的年轻年龄,强烈提示为MiTF/TFE易位相关肾癌。咨询了专业泌尿病理中心的专家意见。采用荧光原位杂交(FISH)的细胞遗传学分析显示,TFE3基因存在重排,在计数的 110 个细胞中有 88 个出现TFE3基因断裂,即 80%。但未检测到TFEB基因重排。
讨 论
MiTF家族基因易位相关肾癌是肾细胞癌中一种罕见且定义明确的亚型。已知主要有两种类型:涉及TFE3基因的Xp11.2易位性肾癌,以及涉及TFEB基因和MALAT1的t(6;11)易位性肾癌。TFE3基因重排相关肾细胞癌是一种倾向于影响年轻人群的癌症。其病因尚不明确,但偶尔有儿童期化疗史的记录。
影像学上,TFE3易位相关肾癌常与透明细胞肾细胞癌相似。它表现为异质性、血供丰富且有时为囊性的肾肿块。然而,它有一个显著特征:高频率的砂粒体样钙化。这些钙化比其他肾癌亚型更为明显,在计算机断层扫描(CT)上易于识别,可作为这一罕见病变的早期指标。在我们的观察中,该肿瘤表现为囊性特征,边界清晰,分类为Bosniak III类。
标准组织学检查显示其具有与其他肾细胞癌相似的多形性。增殖区域可呈现实性、乳头状或腺泡状结构。细胞较大,胞质可为嗜酸性或透明。常可见玻璃样结节和砂粒体。基于我们的观察,尽管存在大量透明细胞,但大量钙球的存在提示这是一种具有分子特殊性的肾癌亚型。
免疫组化研究中,抗AE1/AE3和CK7抗体常呈阴性,抗CA IX抗体也是如此。组织蛋白酶K在约 60% 的肿瘤细胞中表达。Melan A和HMB45的表达具有变异性。在我们的病例中,HMB45呈阴性。对于具有乳头状组织学结构的肾脏透明细胞增殖病例,应考虑几种主要诊断可能性:这种形态学特征伴抗CA IX和AE1/3抗体免疫阳性,提示要么是具有乳头状特征的透明细胞肾细胞癌(通常CK7阴性或局灶阳性且TFE3阳性),要么是乳头状透明细胞肾细胞癌(通常弥漫性CK7阳性且TFE3阴性)。在此情况下,Melan-A和HMB-45免疫阳性可能提示上皮样血管平滑肌脂肪瘤、黑色素瘤或TFEB易位性肾癌。然而,抗TFE3或TFEB抗体免疫组化染色阴性不足以排除易位性肾癌的诊断。
因此,对于免疫组化结果不明确的恶性肾脏增殖病例,应进行荧光原位杂交(FISH)检测以寻找以下情况:①VHL基因缺失(见于某些透明细胞肾细胞癌);②TFE3/TFEB基因重排(见于易位性肾癌);③7号和17号染色体获得(见于某些乳头状肾细胞癌)。
文献显示,MiT家族基因易位相关肾癌在无淋巴结转移的年轻成人中,三年总生存率约为 70.6%;存在淋巴结转移时预后更差,生存率为 14.3%。抗mTOR和抗MET治疗已在这一肾细胞癌亚群中进行试验,因为这些通路被TFE基因激活。
TFE3基因易位相关肾癌罕见,主要影响年轻人群,且表现不典型。尽管本例中观察到的高铁蛋白血症似乎与肾肿瘤无直接关联,但对其原因的调查促成了肿瘤的发现。诊断基于组织学、免疫组化和细胞遗传学特征的综合比较,荧光原位杂交(FISH)是金标准检测方法。识别这种疾病至关重要,因为它影响预后并为新的靶向治疗策略铺平道路。
TFE3(Xp11.2)基因断裂(FISH方法学)、TFEB(6p21)基因断裂(FISH方法学),可辅助MiTF家族基因易位相关肾癌的诊断、评估预后和指导治疗。
参考文献:
Bocovo EJ, Pingdwendé Traoré YJR, Caspar Q, Daniliuc C, Ahomadégbé C, Takin R, Nollez F. Hyperferritinemia revealing renal carcinoma with TFE3 gene translocation: a rare case report. Urol Case Rep. 2025 Sep 16;63:103216. doi: 10.1016/j.eucr.2025.103216. PMID: 41036095; PMCID: PMC12481126.