疫苗,是我们非常熟悉的一种治疗方式,有助于预防流感和新冠病毒,但它们是否也能在抗癌中发挥作用?几十年来,研究人员一直致力于探索“疫苗”在人类癌症方面的进展。
肾癌疫苗显著降低复发,患者长期无病生存
2025年初,全球顶级医学期刊《自然》发表两篇重磅论文,报告了癌症治疗领域的里程碑进展:针对肾细胞癌和其他实体瘤的个性化癌症疫苗,在临床试验中取得了“前所未有”的治疗效果。
其中,个性化癌症疫苗(伴有或不伴有Ipilimumab)在高危、完全切除的透明细胞肾细胞癌(RCC)患者中的I期试验(NCT02950766)显著降低患者的复发风险,且副作用低。中位随访40.2个月,入组的9例患者均没有复发迹象,其中2名患者已保持4年时间未复发!77.8%的患者中检测到抗肿瘤反应性。

最常见的不良事件是低度注射部位反应和短暂的流感样症状。没有患者出现3级或更高级别(剂量限制性)毒性。
mRNA疫苗让晚期肿瘤显著缩小甚至完全消失
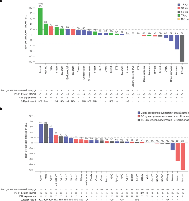
而英国研究人员利用mRNA技术开发的BNT122(Autogene cevumeran)个性化抗癌疫苗让部分已发生转移的晚期癌症患者肿瘤显著缩小甚至完全消失。
扩展队列数据显示:
在未接受过免疫治疗的黑色素瘤和肾癌患者中,约1/3患者肿瘤明显缩小;
尿路上皮癌和肺癌的有效率分别为18.2%和10%。

值得令人注意的是,在该试验中,研究人员观察到3名患者产生令人振奋的反应:
其中一名四次标准治疗均失败的肾癌患者,在该研究中肿瘤得到大幅缩小,从108mm缩小至10mm。

一名三阴性乳腺癌患者肺转移病灶也得到明显的缩小。

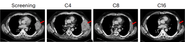
更加令人振奋的是,一名两次治疗失败的直肠癌患者,在联合治疗后,肺部肿瘤竟然完全消失不见!

这些临床结果标志着癌症治疗疫苗可能对晚期恶性肿瘤患者产生重大影响。
那么癌症疫苗与传统疫苗有何本质区别?
传统疫苗主要用于预防疾病,而癌症疫苗则是一种治疗性手段,旨在激活人体免疫系统识别并清除已经存在的癌细胞。

科学家数十年来一直致力于癌症疫苗的研究,希望复制病原体疫苗在改善人类健康方面取得的巨大成功。既然疫苗能够有效诱导保护人类免受病原体侵害的免疫细胞,那么原则上,利用疫苗产生能够识别并根除具有“非我”特征的微观或宏观癌症的免疫力应该是可行的。
而且,科学家目前致力于开发针对每位患者实现个性化精准针对其独特癌细胞的疫苗。虽然这听起来像科幻电影里的情节,但已经逐渐变成了现实。
实际上,人类的免疫系统有能力清除癌细胞,只要能找到它们。但肿瘤很狡猾。它们可以隐藏在明处,并使用各种技巧来规避我们的免疫防御。而癌细胞往往看起来像身体自己的细胞,因为它们确实是身体自己的细胞。然而,癌细胞和健康细胞之间存在差异。癌细胞获得有助于生长和生存的突变,其中一些突变产生细胞表面的蛋白质,即所谓的新抗原。
像Moderna和BioNTech正在开发的个性化癌症疫苗,是针对每位患者的具体癌症量身定制的。研究人员采集了患者的肿瘤碎片和健康细胞样本。他们对这两个样本进行测序并比较,以识别肿瘤特有的突变,这些新抗原共同构成了一种肿瘤的警察草图,一幅粗略的图像,帮助免疫系统识别癌细胞。

正如《肿瘤网络》与David A. Braun医学博士的访谈中所述,个性化癌症疫苗的基本理念是为免疫系统增加一个方向盘。我们知道,总的来说,免疫疗法已经对许多癌症患者产生了革命性的影响。但目前我们使用的工具相当粗糙。它们本质上是解除免疫系统的刹车,希望被释放的免疫系统会去攻击癌细胞,但不会攻击身体的正常部分。对许多患者来说,这是有效的。但不幸的是,我们知道在许多情况下并非如此。许多患者并未从当前疗法中获益,还有许多患者经历了副作用。
个性化癌症疫苗的理念是:“我们能否找到每个个体肿瘤特有的东西,从而增加一种类似GPS(全球定位系统)的功能?我们能否将免疫系统引导至特定方向,专门攻击那些癌细胞?”
但我们所看到的情况令人鼓舞:这种做法是可行的、安全的,并且我们期望看到的能够产生免疫反应的早期迹象已经成功出现。
首个获批前列腺癌疫苗的生存获益
2010年美国食品药品监督管理局(FDA)批准的前列腺癌疫苗Sipuleucel-T是一个成功代表,它通过靶向前列腺癌组织中的前列腺酸磷酸酶(PAP)并产生PAP特异性T细胞,从而识别并杀死表达PAP的前列腺癌细胞,从而诱导对前列腺癌细胞的免疫反应,为患者提供了数月生存获益。
ELI-002疫苗在胰腺癌与结直肠癌中的数据
ELI-002是一种新的研究性AMP癌症疫苗,靶向由KRAS基因突变驱动的癌症。ELI-002 1期AMPLIFY-201试验共纳入了25例患者,其中有20例胰腺导管腺癌(PDAC)患者和5名结直肠癌(CRC)患者。结果显示:所有患者中位无进展生存期(PFS)为16.3个月,中位总生存期(OS)为28.9个月。胰腺导管腺癌队列中位无进展生存期为15.3个月,结直肠癌队列为16.3个月。
在延长随访时,队列中位总生存期(OS)为28.94个月,中位无复发生存期(RFS)维持在16.33个月。

Tedopi疫苗联合化疗的维持治疗效果
Tedopi(OSE2101)是一种新型基于T细胞表位的癌症疫苗,2025年美国临床肿瘤学会(ASCO)上报告了化疗后接受OSE2101联合治疗的II期TEDOPaM临床试验结果。该试验评估了FOLFIRI化疗(A组)与癌症疫苗Tedopi®(OSE2101)联合FOLFIRI化疗(B组)作为HLA-A2阳性、晚期或转移性胰腺导管腺癌(PDAC)患者在FOLFIRINOX诱导化疗后未出现疾病进展的维持治疗方案。
研究共入组了107名患者(A组53人,B组54人),结果显示:OSE2101联合治疗组观察到两例完全缓解,10例部分缓解(PR),34例病情稳定(SD)。对照组没有患者完全缓解,12例患者部分缓解,28例患者病情稳定(SD),12个月总生存率分别为65%和61%。
除此之外,越来越多的证据证明癌症疫苗在乳腺癌、头颈癌、肺癌等领域展现出令人兴奋的进展。
结语
癌症疫苗的未来看起来非常有希望,越来越多的证据支持其疗效。据报道,俄罗斯开发的癌症疫苗Enteromix在早期人体试验中显示出100%的有效性和安全性,可抑制60%至80%的肿瘤生长,同时有效缩小肿瘤体积,显著延长患者生存期。而古巴肺癌疫苗CIMAvax-EGF更是引得不计其数的癌症患者前往古巴接受治疗。随着生物技术的不断发展,个性化癌症疫苗、联合治疗和新型疫苗技术的应用将为癌症疫苗的未来发展开辟广阔的前景。相信在不久的将来,癌症疫苗将在癌症的预防和治疗中发挥越来越重要的作用,为人类健康带来更大的福祉。