半月前,持续性头痛让张先生(化名)难以忍受,他紧急前往当地县医院就诊。一份颅脑CT报告,令他的心紧紧揪了起来:右侧额叶出现环状阴影,周围伴着大面积水肿,病灶已蔓延至右侧侧脑室前角。“占位性病变”这几个字,像一块乌云,笼罩在张先生和家属的心头。

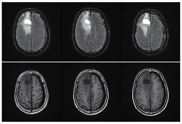
为了弄清病灶的“真面目”,县医院立刻安排了颅脑磁共振(MR)平扫及增强检查。影像画面清晰地显示,右侧额叶的病变范围不小,呈囊性改变,周围还存在典型的血管源性水肿带——所有迹象都指向一个令人担忧的方向:颅内恶性肿瘤的可能性很大。
抱着殷切希望,家属带着被头痛折磨得痛苦不堪的张先生,来到西安医学院第一附属医院神经外二科。此时,张先生的头痛已经非常剧烈,常规的脱水降颅压治疗几乎没有效果。为了缓解他的痛苦,更要防范随时可能发生的脑疝风险,医生当机立断,加用激素并加强脱水治疗。可即便如此,顽固的头痛仍未减退。时间不等人,必须尽快揪出病因,制定针对性的救治方案。
这个脑内的病变,到底是大脑“原生”的肿瘤,还是从身体其他部位“入侵”的转移瘤?这一问题,直接决定着后续的治疗方向。神经外科团队没有局限于颅内病灶本身,而是启动了一场缜密的“探案”:如果是脑转移瘤,那身体的某个角落,一定藏着它的“原发灶”。
接下来的一系列检查,就像一块块拼图,逐渐拼凑出病情的全貌。颅脑MRS(磁共振波谱)检查,进一步印证了转移瘤的判断;全腹部CT扫描时,医生发现肝胃间隙有多发肿大淋巴结,最大直径约14mm;随后的全腹部增强CT,更清晰地暴露了肝胃间隙及贲门周围淋巴结的异常,影像科医生高度怀疑这些是转移性淋巴结。
而胸部CT检查,则让谜底终于浮出水面!影像显示,从隆突下到左心房水平的食管壁,呈现出不规则增厚的状态——这正是食管肿瘤的典型表现,而且食管旁已经出现了肿大的转移淋巴结。

术前核磁提示脑转移瘤
至此,一条完整的证据链逐渐成型:张先生难以忍受的头痛,根源是颅内高压;而颅内高压,源于额叶的占位病变;这个占位病变,极有可能是食管肿瘤转移而来,真正的“元凶”,就隐藏在食管里。经过系列手术后,困扰张先生多日的剧烈头痛显著缓解,颅内高压的警报暂时解除。
专家提醒,脑转移瘤是成年人较为常见的颅内恶性肿瘤,它是指身体其他部位的恶性肿瘤细胞通过血液循环等途径,“跑”到大脑内生长形成的肿瘤。肺癌、乳腺癌、消化系统肿瘤(如胃癌、结直肠癌、食管癌)、恶性黑色素瘤等,是导致脑转移的主要原发肿瘤。主要症状常表现为逐渐加重的头痛、恶心呕吐(晨起为重)、肢体无力或麻木、言语障碍、癫痫发作、性格行为改变等,这些症状主要由肿瘤占位和脑水肿引起的颅内压增高及脑功能区受损所致。
本报记者 李勇
责任编辑:安心 审核:杨勇