尤因肉瘤(ES)是起源于神经外胚层的高度恶性未分化小圆细胞肿瘤。它主要发生于骨骼组织,但也有文献报道发生于骨外组织,包括小肠、食管、阴道、胰腺、卵巢、直肠阴道隔、前列腺和肾脏。骨外尤因肉瘤(EES)约占尤因肉瘤家族肿瘤的15%-20%,该家族包括尤因肉瘤/外周原始神经外胚层肿瘤(ES/PNET)和骨外尤因肉瘤。骨外尤因肉瘤常见于脊柱旁区域、四肢和腹膜后。原发性胃尤因肉瘤极为罕见。本文报告一例 17 岁男性原发性胃尤因肉瘤的极罕见病例,该患者因胃出口梗阻症状就诊。腹部增强计算机断层扫描显示胃窦幽门区及十二指肠第一段不对称环形增厚约 5 cm,伴多发胃周淋巴结肿大。内镜活检显示肿瘤细胞呈巢状、条索状和片状排列。广泛的免疫组化检测发现肿瘤细胞波形蛋白、NKX2.2、FLI1、CD99和细胞角蛋白(CK)呈强阳性。患者接受了基于IE-VAC方案的 9 周新辅助化疗。随后接受择期经典胰十二指肠切除术(Whipple手术)。患者术后恢复顺利,无并发症发生,术后 12 天健康状况良好出院。此后,他接受了 4 个周期的辅助化疗。对已报道的原发性胃尤因肉瘤病例的回顾显示,该病具有侵袭性,常发生区域和远处转移,且大多表现为非特异性临床特征,因此难以早期诊断。通常采用包括化疗、放疗和手术干预在内的全面多模式治疗策略。因此,本文报告此病例,以帮助临床医生识别该病并提高对该病的认知。
病 例
患者男,17 岁,因进食后呕吐发作的主要主诉在门诊就诊。他近 3 年来一直有烧心和腹胀症状,随后出现每日 2-3 次呕吐,逐渐发展为每日 6-7 次。呕吐伴恶心,进食后数分钟内发生。无疼痛、吞咽困难、呕血、黑便或便血史。腹部增强计算机断层扫描显示胃窦幽门区及十二指肠第一段不对称环形增厚,长度约 5 cm,伴多发胃周淋巴结肿大,其中最大者位于胃小弯侧,大小为 31×29 mm(坏死性)(图1和图2)。氟代脱氧葡萄糖正电子发射断层扫描-计算机断层扫描(18F-FDG PET/CT)提示胃窦幽门区及十二指肠第一段环形FDG代谢增高(最大标准摄取值:18.89)。同时可见少量FDG代谢增高的胃旁淋巴结(最大标准摄取值:16.50)。全身其他部位无转移灶证据(图3)。

▲图1 化疗前幽门窦肿块的连续轴位CT增强影像

▲图2 化疗后幽门窦肿块的连续轴位CT扫描

▲图3 化疗前后PET-CT对比结果显示,新辅助化疗疗效甚微
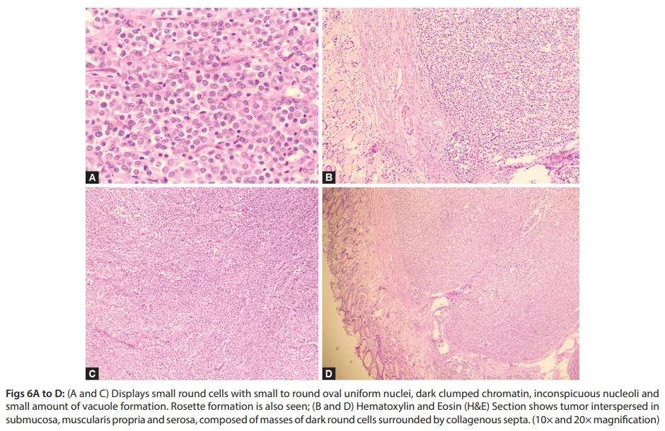
上消化道内镜检查(UGIE)显示胃窦存在环形结节增生性病变,内镜无法通过(图4和图5)。由于首次标本组织病理学检查仅发现固有层存在非特异性淋巴浆细胞浸润,表面及腺上皮无明显异常,患者接受了多次内镜活检。未观察到恶性肿瘤或肉芽肿。第三次内镜活检最终显示纤维胶原组织核心区域存在肿瘤,肿瘤由呈巢状、条索状及片状排列的小圆细胞组成。细胞具有中等量细胞质,细胞核圆形,染色质细腻,核仁不明显(图6)。广泛的免疫组化检测显示肿瘤细胞波形蛋白、NKX2.2、FLI1、CD99及细胞角蛋白(CK)呈强阳性,SATB2、Cyclin D1及突触素呈阴性。荧光原位杂交(FISH)检测进一步显示存在EWSR-FLI1基因重排。据此,最终组织病理学诊断为原发性胃尤因肉瘤(ES)。

▲图4 化疗前内镜检查显示胃窦和十二指肠第一段存在充血水肿性软组织肿块

▲图5 化疗后内镜检查结果显示,幽门窦及幽门开口处存在环周结节增生性病变(恶性幽门病变)。内镜操作困难。

▲图6 组织学检查结果
该病例经多学科肿瘤委员会讨论后,给予 9 周新辅助化疗(IE-VAC方案)。新辅助治疗后胃出口梗阻症状缓解,但影像学上反应轻微。因此,患者计划接受择期手术。术中发现病变延伸至十二指肠第二段,遂行经典胰十二指肠切除术(Whipple手术)(图7)。术后组织病理学检查显示切除切缘无肿瘤残留,16 枚切除淋巴结中有 4 枚(4/16)发现肿瘤沉积。术后恢复顺利,患者于术后第 12 天健康状况良好出院。术后 1 年,患者目前状况良好,正在接受辅助化疗。通过定期随访评估肿瘤标志物(糖类抗原19-9[CA19-9]、癌胚抗原[CEA]及甲胎蛋白[AFP])及腹部增强计算机断层扫描(CECT),截至目前未发现肿瘤复发迹象。


▲图7 手术大体样本
讨 论
尤因肉瘤(Ewing's sarcoma)是一种以小圆细胞为特征的高度恶性肿瘤。该组包括骨外尤因肉瘤(ES)、发生于骨骼和软组织的外周原始神经外胚层肿瘤(PNETs),以及胸壁的Askin瘤(PNET的一个亚型)。经典型ES累及骨骼,是儿童人群中第二常见的原发性骨恶性肿瘤。该家族肿瘤具有共同的神经外胚层起源和遗传特征。虽然其确切组织发生机制尚不清楚,但这些肿瘤似乎起源于具有有限神经分化能力的原始间充质细胞。ES通常见于骨盆、股骨及其他长轴骨,而骨外尤因肉瘤(EES)常见于四肢、脊柱旁区域和腹膜后。在ES家族中,EES占 15-20% 的病例。原发性胃ES极为罕见,研究人员仅找到 16 例已发表的原发性胃ES病例。
回顾既往文献,胃ES进展缓慢,表现为疼痛、厌食、恶心呕吐、体重减轻、疲劳、胃食管反流和黑便等非特异性症状,体格检查无明显异常。既往病例中最常见的临床表现是腹痛(12/16 例),其次是黑便和厌食(各 3 例)。尽管本例患者无疼痛表现,但存在胃食管反流、恶心和呕吐等症状,与既往诊断病例相似。这些模糊症状可能导致胃尤因肉瘤难以早期诊断。16 例病例中,11 例为女性,5 例为男性(女:男=2.2:1)。Applebaum等人在其研究中得出结论,EES发病平均年龄更高,呈双峰分布,通常比骨骼型ES常见于 35 岁以上和 5 岁以下人群。Hallon等人的研究显示,胃尤因肉瘤的平均发病年龄为 47 岁(n=8),范围为 24-68 岁。已发表病例的年龄范围为 17-68 岁。
Huh等人记录了骨外ES原发性肿瘤在增强计算机断层扫描(CECT)或磁共振成像(MRI)上的影像学特征:“ 体积较大、异质性肿块,常表现为局部浸润或对邻近组织产生占位效应。相当比例的肿瘤表现为不均匀强化(n=42,73.7%)。41 例患者(71.9%)可见坏死灶。尽管这些肿瘤通常边界相对清晰(n=38,66.7%),但也常观察到侵犯邻近器官(n=26,45.6%)。值得注意的是,局部浸润在腹部肿瘤中更常见(n=6)。”在胃中,它通常表现为体积较大的黏膜下肿块,类似胃肠道间质瘤(GIST)(n=4)。Rafailidis等人报道过胃ES大小可达 12 cm。这些临床特征与本例观察到的特征一致,进一步完善了鉴别诊断。上消化道内镜检查(UGIE)中,肿瘤表现为位于胃内不同部位的大型溃疡增生性肿块(胃体>胃窦>胃小弯>胃大弯=贲门)。影像学或UGIE中未发现明确或特征性表现可将诊断导向骨外ES。本例患者接受了多次内镜检查,均显示非特异性特征。在本例中,系列内镜检查显示溃疡随时间进展为溃疡增生性肿块,这一发现与既往诊断病例一致。由于临床特征和影像学鉴别存在不确定性,诊断这种罕见实体的唯一替代方法是利用一系列组织诊断手段(包括免疫组化谱、细胞形态学分析和荧光原位杂交)。
尤因肉瘤中观察到的经典遗传异常是染色体易位t(11;22)(q24;q12),导致形成作为转录因子发挥作用的“EWSR1-ETS”融合蛋白。通过荧光原位杂交(FISH)可识别这种诊断性易位。该病无特征性标志物,特征性形态学特征包括小圆细胞形态和独特的免疫组化结果,如“CD99、FLI-1、波形蛋白、NKX2、ERG、NSE、LEU-7和突触素阳性”。另一个可用于诊断的免疫组化标志物是中间丝波形蛋白,通常呈阳性。表现为可变免疫组化染色的标志物包括“S100、嗜铬粒蛋白A、突触素和神经元特异性烯醇化酶(NSE)”。目前尚无针对骨外ES的统一标准化治疗指南。目前,手术切除联合新辅助或辅助放化疗是最常用的治疗策略。既往病例根据临床情况接受了胃切除术(次全/远端/根治性),伴或不伴淋巴结清扫。一些病例采用了包含异环磷酰胺、依托泊苷、阿霉素和环磷酰胺的化疗方案。本例患者也采用了类似的化疗方案。
表1中总结了 16 例已报道的原发性胃ES病例,描述了其临床表现、组织学特征、免疫组化特征、采用的治疗方式和结局。研究人员发现原发性胃ES在女性患者中更常见,表现为非特异性临床症状。大多数报道的肿瘤大于 5 cm,常选择综合治疗(手术、放疗和化疗相结合)。



▲表1 既往文献中对胃尤因肉瘤的描述
我司骨与软组织肿瘤DNA1308+RNA1560基因检测、骨与软组织肿瘤肿瘤DNA272+RNA1560基因检测、骨与软组织肿瘤肿瘤DNA160+RNA1560基因检测(NGS方法学)可检测EWSR1::FLI1融合在内超过1560种已知融合和数百个基因相关未知融合,辅助骨与软组织肿瘤病患者精准诊疗。我司也可提供EWSR1(22q12.2)基因断裂检测,辅助诊断EWSR1融合的软组织肉瘤亚型。
参考文献:
Pawar SS, Priya S, Kumar M, Mohsin F, Singh RK. Ewing's Sarcoma of Stomach Masquerading as Gastric Cancer: A Case Report and Literature Review. Euroasian J Hepatogastroenterol. 2025 Jan-Jun;15(1):1-9. doi: 10.5005/jp-journals-10018-1459. Epub 2025 Jun 18. PMID: 40718603; PMCID: PMC12288588.