本期病例
本期由中国人民解放军北部战区总医院梁国标主任团队主刀术者于春泳教授为大家分享团队病例“Lattice血流导向密网支架治疗大脑中动脉复杂动脉瘤2例”。

病例一:
Lattice治疗左侧大脑中动脉M1段巨大型动脉瘤
病例资料
患者男性,63岁。
主诉:间断头晕1个月。
现病史:患者1个月前无明显诱因出现间断头晕,意识清楚,语言正常,无肢体活动障碍。遂患者就诊于外院门诊,头部MRA提示左侧大脑中动脉M1段动脉瘤。患者为进一步检查及治疗,经门诊收入我科。患者目前精神尚可,体力正常,食欲正常,睡眠正常,体重无明显变化,排尿正常,大便正常,为进一步检查及治疗入院。
既往史:平素健康,否认“高血压”,“糖尿病”,“冠心病”等病史,否认肝炎,结核,疟疾等传染病史,否认手术史,否认外伤史,否认输血史,否认药物、食物过敏史,预防接种随当地进行。
查体:神志清楚,言语流利,遵嘱活动,额纹对称,双瞳孔等大等圆,直径3mm,光反应灵敏,鼻唇沟对称,口角无歪斜,鼓腮无漏气,伸舌居中。颈软,无抵抗。四肢可自主活动,肌力、肌张力正常。双侧巴氏征未引出。
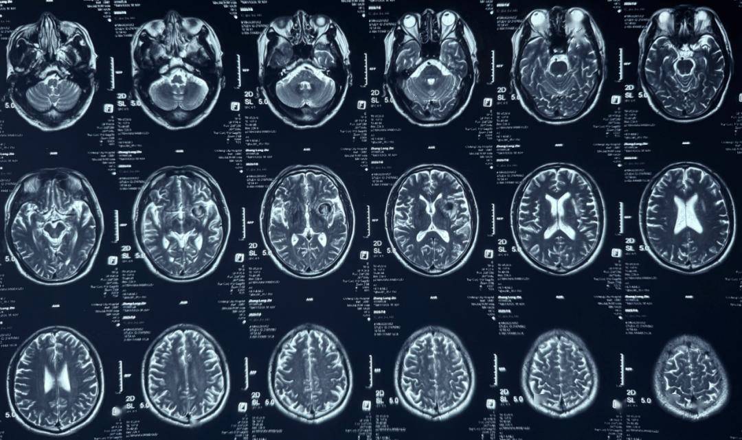
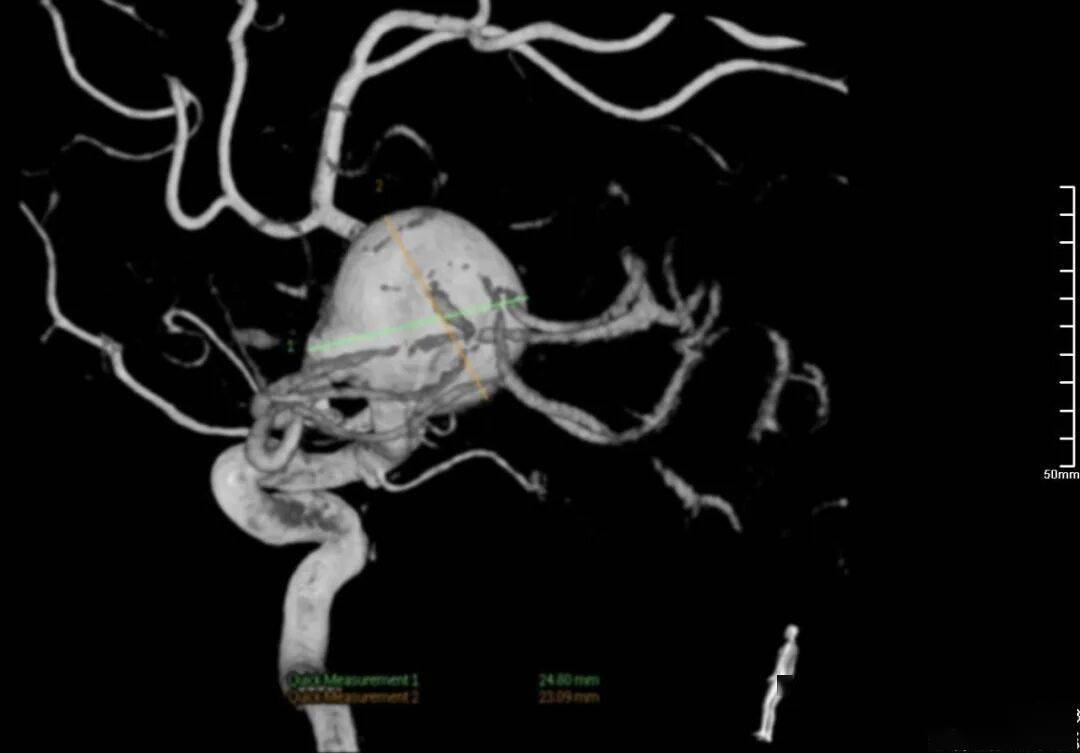
术前影像
术前正位DSA
术前侧位DSA

术前核磁




初步诊断
初步诊断:左侧大脑中动脉M1段动脉瘤
侧别、位置:左侧
动脉瘤的形态:囊性
动脉瘤大小:长24.8mm、宽23.1mm、高20mm
动脉瘤颈宽度:6.2mm
载瘤动脉直径:远端3.1mm,近端3.9mm
治疗方案:Lattice血流导向密网支架置入术+弹簧圈辅助栓塞

术前难点分析
动脉瘤特征:M1段动脉瘤体积巨大,瘤颈宽大,瘤腔容积大,单纯弹簧圈难以实现致密栓塞,复发风险高。
解剖位置:瘤颈邻近分叉及穿支动脉,M1段血管长度有限,操作空间狭窄,要求支架定位精准且不影响分支灌注。
血管径差:远近端管径不一致,常规FD容易出现贴壁不良或位置不稳。
操作控制:巨大瘤颈覆盖需要支架既要稳固展开,又要避免前窜或短缩,确保与弹簧圈的配合顺畅。
手术耗材
105cm 6F 颅内支撑导管
0.014" 微导丝
0.027" 微导管
Lattice血流导向密网支架3.8mm*30mm,5个机械球囊
弹簧圈微导管
若干弹簧圈
手术过程
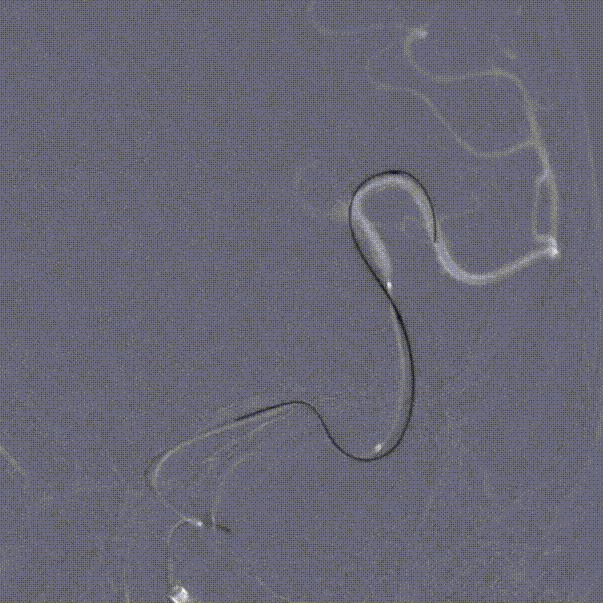
微导丝、微导管到位:
通路建立完成后,微导丝瘤内成袢,超选至大脑中动脉远端,支架微导管到位。


弹簧圈微导管到位。

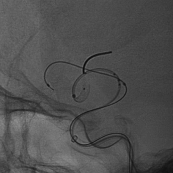
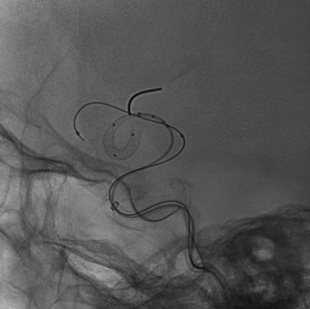
Lattice远端释放:
Lattice输送到位后,透视下将支架远端定位于大脑中动脉M2段,回撤微导管原位释放支架,可见在支架头端机械球囊的辅助下,支架远端打开良好,头端导丝不位移。


继续释放支架至尾端,回撤微导管,支架自然打开贴壁满意,回撤球囊。

Vaso-CT显示支架打开及贴壁良好。

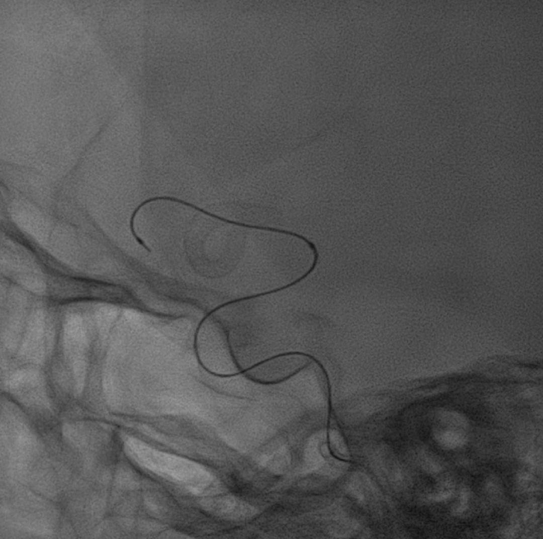
释放弹簧圈:
支架释放后,使用弹簧圈微导管释放弹簧圈,填塞动脉瘤。


术后即刻造影
术后即刻造影,正侧位造影示载瘤动脉血流通畅,各主要分支血管显影良好,瘤腔内未见造影剂残余。


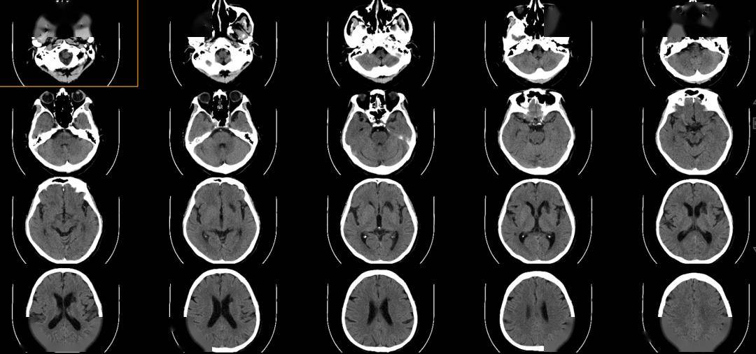
术后CT

病例二:
Lattice治疗右侧大脑中动脉M1段宽颈动脉瘤
病例资料
患者男性,68岁。
主诉:右上肢麻木无力1月余。
现病史:患者1个月前无明显诱因出现右上肢麻木无力,意识清楚,语言正常,无肢体活动障碍。遂于外院住院保守治疗11天,期间头颈部CTA提示:右侧大脑中动脉瘤。出院后上述症状明显改善,患者为进一步检查及治疗,至我院门诊,经门诊收入我科。患者目前意识清楚,四肢肌力IV级,肌张力正常,偶有右手中指尖麻木,精神尚可,体力正常,食欲正常,睡眠正常,体重无明显变化,排尿正常,大便正常,为进一步检查及治疗入院。
既往史:平素健康,否认“高血压”,“糖尿病”,“冠心病”等病史,否认肝炎,结核,疟疾等传染病史,否认手术史,否认外伤史,否认输血史,否认药物、食物过敏史,预防接种随当地进行。
查体:神清语明,四肢肌力IV级,肌张力正常。
术前影像

术前正位DSA

术前侧位DSA

术前CT

初步诊断
初步诊断:右侧大脑中动脉M1动脉瘤
侧别、位置:右侧
动脉瘤的形态:囊性
动脉瘤大小:长15.0mm、宽16.6mm、高15.1mm
动脉瘤颈宽度:12.0mm
载瘤动脉直径:远端3.8mm,近端4.6mm
治疗方案:Lattice血流导向密网支架置入术+弹簧圈辅助栓塞

手术耗材
105cm 6F 颅内支撑导管
0.014" 微导丝
0.027" 微导管
Lattice血流导向密网支架 3.5mm*20mm,3个机械球囊
弹簧圈微导管
若干弹簧圈
手术过程
微导丝、微导管到位:
通路建立完成后,微导丝瘤内成袢,超选至大脑中动脉远端,支架微导管到位。

弹簧圈微导管到位。

Lattice释放:
Lattice输送到位后,透视下将支架远端定位于大脑中动脉远端,回撤微导管原位释放支架,可见在支架头端机械球囊的辅助下,支架远端打开良好,头端导丝不位移。继续释放支架至尾端,回撤微导管,支架自然打开贴壁满意,回撤球囊。



释放弹簧圈:
支架释放后,使用弹簧圈微导管释放弹簧圈,填塞动脉瘤。


术后即刻造影
术后即刻造影,正侧位造影示载瘤动脉血流通畅,各主要分支血管显影良好,动脉瘤仅余部分少量显影。


术后CT

总结讨论
支架特性优势:Lattice自带的机械球囊设计,分段吸收张力,使支架能逐步贴合血管壁;释放过程中头端导丝稳定不前移,保护分支血管安全,在M1段这种短而复杂的血管里表现尤为突出。
操作体验:先释放Lattice 并确认贴壁满意,再在瘤腔内置入弹簧圈。借助支架的屏障作用,弹簧圈堆积稳定,不存在突出或滑脱问题。
即刻疗效:造影显示瘤腔完全闭塞,瘤颈覆盖理想,邻近分支血流通畅。
术者简介

梁国标
北部战区总医院
北部战区总医院神经外科主任、学科带头人,军队高层次创新人才,国内著名神经外科专家。
现任联保部队首届医疗卫生专家指导委员会常务委员;
中国研究型医院学会神经微侵袭专业治疗委员会主任委员;
辽宁省医学会神经外科分会主任委员;
中华医学会神经外科学分会神经介入学组副组长;
中华医学会神经外科学分会脑血管病学组副主任委员;
世界华人神经外科协会委员等多项职务。
享军队优秀专业技术人才一类岗位津贴。
荣获军队国防科技二等功一次,以第一完成人获辽宁省科技进步一等奖一次,军队科技进步二等奖一次,荣获辽宁“兴辽英才”计划科技创新领军人才,沈阳市杰出医师奖,沈阳市第七届优秀专家,军区科技发展创新人才等多项奖项。现在研课题6项,近5年可支配经费370万余元,发表各类文章100余篇,SCI文章40余篇,在国内外具有相当的影响力。

于春泳
北部战区总医院
全军神经外科学会青年委员
中国教育学会神经外科分会常委
辽宁细胞生物学会神经外科分会委员
辽宁省神经外科学会委员
擅长治疗方向:脑动脉瘤手术治疗,脑血管畸形手术切除,颈动脉狭窄内膜剥脱手术治疗,脑肿瘤、脑外伤治疗。
辽宁省科技进步二等奖两项
省和军队科技进步三等奖各一项
以第一作者发表SCI及统计源期刊论文30余篇,专著2部
军队和省级课题3项

闭士峻
北部战区总医院
北部战区总医院神经外科,住院医师。
擅长于蛛网膜下腔出血、颅内动脉瘤、颅内血管狭窄、畸形等脑血管疾病的临床诊疗,以第一作者发表多篇SCI论文及中文核心期刊,以第一发明人授权多项国家发明专利及实用新型专利。
© 版权声明
严禁任何媒体、网站或个人在未经授权的情况下转载或以其他方式复制发布/发表本文内的文字、图片、视频等资料。已经协议授权的媒体、网站或个人,在使用时必须注明来源,违者将依法追究责任。
△ 特别说明
本页面所包含的文字、图片、音视频等内容仅供医学专业人士参考。本页面所包含的内容,仅为专家个人观点,不能代替医疗专业人士的判断。本页面不向非医学专业人士开放,敬请理解。
觉得内容还不错,分享给更多好友