
出品 | 搜狐健康
作者 | 北京安贞医院冠心病中心三区
编辑 | 原野
2025年9月23日,北京安贞医院冠心病中心三区曾勇主任团队成功完成一项国产血管介入机器人多中心临床研究的首例PCI手术。该项目于2025年5月30日在第十九届东方心脏病学会议(OCC 2025)期间正式启动,安贞医院为核心参与单位之一。此次首例手术的顺利实施,标志着国产自主研发的血管介入机器人在临床应用中迈出关键一步,为介入治疗的精准化、智能化发展提供了新的技术路径。
机器人远程精准辅助,成功处理复杂血管病变
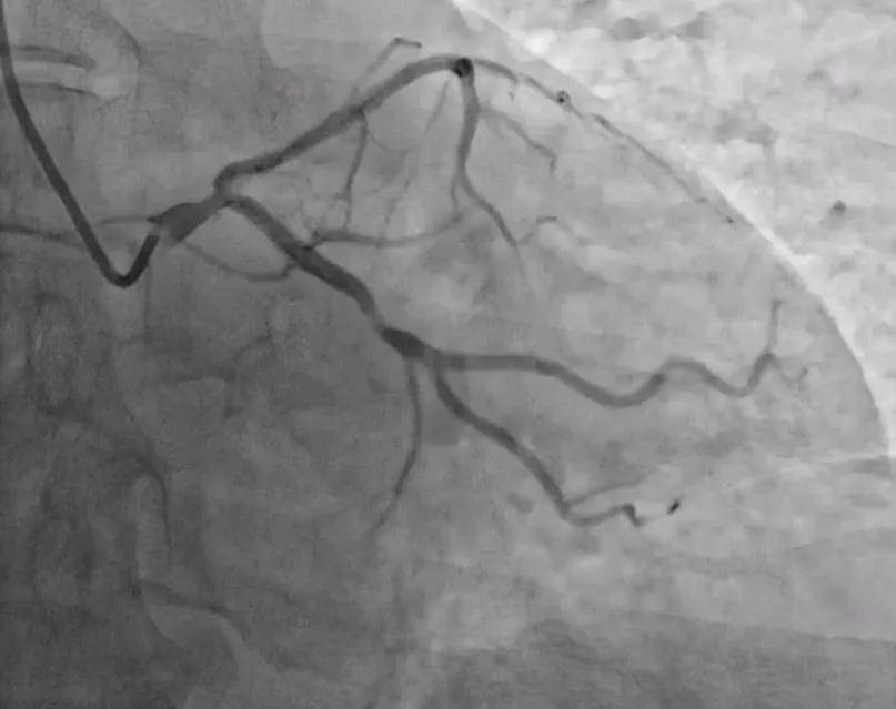
患者为67岁男性,主诉胸闷3月,冠脉CTA及造影均提示左回旋支(LCX)中段重度狭窄,且血管角度较大,传统手动操作难度较高。经全面评估,曾勇主任团队为其制定了个体化治疗方案,决定施行血管介入机器人辅助手术。
图说 / 造影提示LCX中段重度狭窄
手术由冠心病中心三区副主任医师赵昔良在监控室操作国产血管介入机器人系统完成。术者无需站立于导管床旁即可完成全部关键操作,显著降低了医生在术中所受到的辐射暴露。凭借高精度导管导丝推送、力反馈感知等功能,该系统能在术中实现流畅的导管导丝递送与灵敏的操作响应。
来源 / 北京安贞医院
血管介入机器人系统通过其智能辅助功能,结合AI算法与力反馈感知,实时反馈血管壁力学变化,帮助医生精准操纵导丝前进、后退以及旋转角度,有效避免传统手捻、搓导丝误入风险,良好的跟手性与智能保护大大提高了手术安全性与效率。
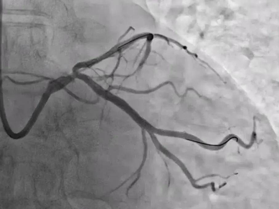
在机器人辅助下,团队顺利将LAD及LCX导丝推送至血管远端。随后机器人沿LCX导丝推送球囊预扩张,使用刻痕球囊再次处理后,成功植入支架一枚,多体位造影显示支架贴壁良好,膨胀良好,无支架边缘夹层等并发症。整个手术历时约40分钟,结果圆满。
图说 / 刻痕球囊进行预处理
图说 / 造影提示LCX支架植入效果良好
人机协同推动介入医学进步
冠心病中心三区主任曾勇指出:
“与传统介入手术相比,本次机器人手术实现了‘隔室操作’,术者全程无需穿戴铅衣,显著避免了X射线辐射风险。导丝操控、球囊传递、支架推送等关键步骤,均由血管介入机器人完成。”
血管介入机器人的应用,不仅提升了手术的精准性、标准化与智能化水平,也有助于降低患者术后并发症风险,同时在有效保护医生免受辐射伤及提升医生职业幸福感方面发挥了重要作用。
未来,机器人有望承担更多重复性、复杂性操作,医生则更专注于决策过程,重塑传统介入诊疗模式。
结合5G技术“0”延迟、高传输的特点,该技术将实现远程手术协作,大幅降低基层医院介入手术开展门槛,助力优质医疗资源下沉,提升基层医院介入诊疗能力。
作为心血管领域的领先机构,北京安贞医院将持续探索并示范介入机器人等前沿技术的临床应用,以科技创新推动心血管疾病诊疗水平提升,为更多患者提供高质量医疗服务。