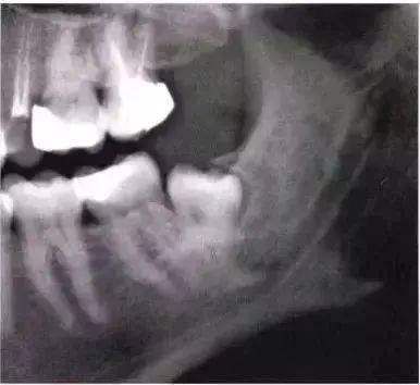
远中倾斜第三磨牙

第Ⅰ类 第Ⅱ类 第Ⅲ类
手术的难易程度主要取决于骨的因素。手术的难度随埋伏深度的增加而增加。第Ⅰ、Ⅱ及第Ⅲ类阻生牙与第二磨牙和下颌升支之间的距离相对应。

部分远中阻生的左下颌第三磨牙的拔除步骤:
1.以阻生牙远中的釉骨质文界处为参照估计其最大埋伏深度;
2.用装在机头上的圆钻解除远中骨阻力,显露出阻生牙的(牙合)面,然后用同样的圆钻解除牙冠最大周径以上的横向骨阻力;
3.使用纺锤形的车针朝向埋伏最深的区域(远中面的颈部)切割牙冠;
4.用合适的牙挺能顺利地挺裂牙冠井挺出牙片;
5.用装在反角机头上的纺锤形的车针分根;
6.先取出近中根,然后往远中方向取出远中根

全颌曲面断层×线片。切割牙冠时应经过阻生牙远中面的牙颈部的釉牙骨质交界处。
下颌升支前缘的骨吸收区有利于牙片的取出。

去除颊侧部分骨阻力后,用装在反角机头上的纺锤形车针切割牙冠。用柔韧的小拉钩保护舌侧的黏骨膜(及舌神经)。
该病例也可以不切割牙冠而拔除。拔牙时,去除了牙根间隔。
上颌第三磨牙:检查与拔除

上颌阻生第三磨牙的主要位置分类。远中倾斜与该牙在上颌结节内正常的萌出路径有关 。
手术方法
“
为了获得到上颌结节较好的手术入路需要翻起较大的黏骨膜瓣。
若术区暴露充分,在第二磨牙后的颊侧去骨前应将黏骨膜瓣翻起,这样可以较好地控制术中的出血。
若采用适当的拉钩,如大而薄且柔韧性好的拉钩,能更好地保护黏骨膜瓣。
术者应根据手术的不同阶段,控制好不同设计的黏骨膜瓣的位置。拉钩的顶端拉向术区上方的骨面。
”
01
切口
1.磨牙后切口
使用12号刀片切开上颌结节:由翼上颌沟开始沿着牙弓的弧形向前切至第二磨牙远中面的中央。
若阻生牙埋伏位置较深,切口起点的位置可稍偏向颊侧数个毫米,以便于更好地翻瓣及显露上颌结节。
2.前庭沟延长切口
使用12号刀片由后往前做沟内切口:从第二磨牙远中腭角开始经过磨牙后切口的终点,循着第二磨牙的颊侧龈沟前行,止于第二前磨牙的远中颊角,注意沿牙间乳头外形而防止将乳头切除。该沟内切口的长度可保证在最大埋伏深度的阻生牙时可翻起足够的黏骨膜瓣以提供手术入路。

黏骨膜瓣的设计。作磨牙后切口(AA)时常用弯刀片由翼上颌沟开始向前切至第二磨牙远中面中央的龈乳头。沟内切口(BC)止于第二前磨牙的远中颊角。

磨牙后切口通常由翼上颌沟底开始循着牙弓的弧形切开。

若磨牙后切口起点的位置偏向颊侧则可将黏骨膜瓣翻得更高,但上颌结节的后部的显露会较少 。

在多数情况下,延长到前磨牙的沟内切口可提供足够的手术入路。一般用一种窄的拉钩的末端(柔软圆滑的一端)可较好地保护该黏骨膜瓣 。

右上颌第三磨牙阻生,C分类伴轻度近中倾斜。牙囊组织的增厚有利于阻生牙的脱位。第二磨牙的牙槽窝骨壁未发生吸收。由于牙根已基本发育完成,故牙无法继续萌出。通过×线照片无法判断腭根存在与否。注意阻生牙于上颌窦之间的关系 。

将磨牙后切口起点的位置稍偏向颊侧,可以更容易地翻起黏骨膜瓣。若术者认为不需要大量去骨的话,则不必做垂直切口,但术中如果需要也可再补作该切口 。
翻起磨牙间的龈乳头后,再用钝的牙挺从前往后得翻起龈边缘,在翻起黏骨膜瓣时要格外小心(注意不要使其撕裂)。骨壁由于牙囊组织增厚的缘故而变薄。显露牙冠的过程较为顺利。
根分叉的存在且牙根基本发育完成就有可能意味这不可预料的术中并发症。尽管牙冠已有一定的松动度,但阻生牙仍无法脱位。为避免牙脱位时引起上颔结节的骨折,故需要去除更多的远中骨质 。
3垂直切口(可选)
若埋伏程度较深,则需要剥离较大面积的骨膜。在沟内切口的末端再做垂直切口有利于骨膜的剥离和黏骨膜瓣的翻起,同时也可避免龈组织的撕裂。做垂直切口时可用15号刀片从前庭沟切向磨牙与前磨牙之间的楔状隙。
可在拔牙的过程中再做垂直切口:显露阻生牙时需去骨以增加牙的松动度,当去骨的范围较术前计划的要大的情况下再做垂直切口。
02
环形去骨
牙冠最大周径应允分显露以利于阻生牙的顺利脱位,否则易引起较大的骨压力而引起以下并发症:
阻生牙断根
上颌结节骨板折断
阻生牙远中易位
使用装在机头上的长的穿孔圈钻去除骨皮质。当转速较慢时,术者可精确地控制去骨的量。去骨时应通过不施加压力地上下移动车针而去除上颌结节的骨皮质。
若手术入路和视野受到限制,使用圆钻会比纺锤形的车针安全,尽管后者的切割深度较大。
术区难于直视,但术者可通过切割骨密质和骨松质的不同手感来判断是否已经切割到牙体组织。
使用车针去除颊侧及(牙合)面的骨质显露出牙冠后,使用锐利的车针扩大牙槽窝的远中壁超过釉牙骨质交界处。此时阻生牙多向远中颊侧顺利脱位。
03
拔除阻生牙
拔除上颌第三磨牙一般不需要分根。去除颊侧骨质和扩大牙槽窝的远中壁至牙根后使可尝试挺出该牙。
因其紧邻解剖腔隙,尝试挺出该牙时切忌将阻生牙推向牙根或远中方向。
若阻生牙颊向脱位,则可嘱患者紧咬牙以便术者更方便地使用牙挺,同时也将患者咽下拔出的阻生牙的风险降至最低。使用拔除上颌第三磨牙专用的枪刺状牙钳夹紧牙冠完成脱位动作。牙根的形态常无法预知,通过使用牙钳来估计牙牵引脱位的方向较为可取。
使用血管钳币和 Lucas刮匙将牙囊碎片清除干净。用人直径的圆钻修整牙槽骨的游离缘。
04
缝合
生理盐水冲洗纤槽窝后将黏骨膜瓣复位。术者应凭借手指的触诊确定没用锐利的骨尖后方能关闭拔牙窝。由于血凝块多能较好的保护,故拔除上颌第三磨牙的术后并发症较少见。
先缝合瓣的近中部分。先用2针缝合垂直切口,然后单独缝合1针将龈乳头固定回楔状隙。瓣的远中部分用纱布压迫止血后间断缝合2针(用不可吸收的缝线合18mm的缝针较为可取)。
