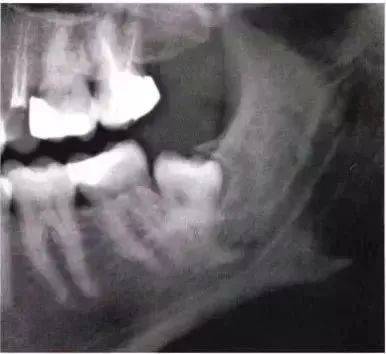
远中倾斜第三磨牙 第Ⅰ类 第Ⅱ类 第Ⅲ类 手术的难易程度主要取决于骨的因素。手术的难度随埋伏深度的增加而增加。第Ⅰ、Ⅱ及第Ⅲ类阻生牙与第二磨牙和下颌升支之间的距离相对应。 部分远中阻生的左下颌第三
“肿瘤没扩散转移,为啥还要做化疗?”“手术都切干净了,化疗不是多此一举吗?”在肿瘤诊疗中,这类疑问很常见。很多人把化疗等同于“晚期治疗手段”,却忽略了它在预防复发、延长生命中的关键作用。其实,化疗的本
随着季节的变化,尤其是进入寒冷的冬季,大家的饮食习惯和选择往往也会有所调整。尤其是对于上了年纪的朋友,适当的饮食调节不仅能帮助身体维持健康,还能在一定程度上提升抵抗力。 不过,很多人对健康食品的选择并
股骨头坏死早期最佳治疗办法-李氏三联法 针对股骨头坏死的早期治疗,李氏三联法为患者提供了一种有效的保守治疗方案。此方法融合了现代医学与传统中医智慧,通过靶点注射中成药、口服中药,以及系统的康复锻炼,
俗话说“多事之秋”,这不仅是对季节更替的描述,对许多男性朋友的前列腺来说,秋天也是一个需要严阵以待的“多事之季”。昼夜温差加大、气候干燥、人体机能进入周期性调整……这些因素都让前列腺变得格外敏感和脆弱
声明:本文内容均是根据权威医学资料结合个人观点撰写的原创内容,文章不含任何低质创作,意在科普健康知识,请知悉。 “老李,戒烟了吗?” “哎,医生,我试了好几次,总觉得一口烟下去,才算活着。” 这是在
心与心理学: 东西方文化差异与东方心理学的意义 不知从何时起,我们的生活仿佛被分成了两半。 一半是日益丰盛的物质世界,窗外是璀璨的霓虹,手中是须臾不离的屏幕,我们追逐着效率,谈论着成功,努力在时代的浪
认识甲状腺相关眼病 甲状腺相关眼病是一类与甲状腺疾病密切相关的眼部炎性异常病症,以器官特异性自身免疫反应为核心,多种因素共同参与发病,可发生于任何年龄段。其最具辨识度的症状,便是眼球外突,这也是患者最
历经两次递表后,海西新药通过了港交所聆讯,并于9月29日更新了聆讯后招股书;由华泰国际和招银国际担任联席保荐人。 海西新药是一家处于商业化阶段的制药公司,集研发、生产及销售能力于一体,具备在研创新药的
“明明三餐规律,却总胃胀反酸?”“体检报告上的C13阳性,是得了胃癌吗?”在消化科门诊,这样的疑问每天都在上演。有一种细菌,它悄悄潜伏在50%中国人的胃里,可能引发胃炎、胃溃疡,甚至与胃癌密切相关——
今天是开拓者的媒体日,杨瀚森成为焦点,回答了不少外界关心的问题。谈到亚洲杯和奥运会时,他直言:当时因为太久没休息,担心身体出问题,所以没有参加亚洲杯。而他最自豪的,就是能够站上奥运会的舞台。事实上,不
“你这一天跑八趟厕所,马桶都要坐穿了!” 妻子又一次敲响厕所门,老王才尴尬地提上裤子,这半年来他总感觉排便不净,刚出厕所又想来第二次。 起初以为是痔疮发作,他用了几支药膏不见好转。有时腹泻如水,有时又
张强医生集团(中国)旗下医疗机构 这个国庆假期,一场规模空前的“全民迁徙”正在上演。 据官方预测,超过八成的出行将由自驾完成,这意味着亿万国人将在车厢的方寸之间,度过数小时乃至更长的时光。 然而,在
假期出行安排了吗?是不是已经在路上了?疾控君不得不提醒,随着“秋老虎”偶尔“返场”、气温渐凉,不少病菌也悄悄活跃起来,为了您的健康,这几类疾病可得重点防范——虫媒、呼吸道和肠道传染病。今天,咱们主要讲
如果有人告诉你,认知障碍——这种通常被认为是中老年人才会面临的问题,正在悄悄找上年轻人,你会不会感到意外?最近一项研究揭示了一个令人担忧的趋势:在过去十年间,美国成年人自述认知障碍的比例从5.3%上升
日前,昌平合成生物产业再迎重磅消息:中粮集团旗下企业研发的国内首个阿洛酮糖产品上市,也是国内首次通过酶法工艺实现规模化生产。 同样取得产业突破的还有驻昌企业微元合成,该企业于今年7月获国家卫生健康委新
王阿姨今年已经63岁,自小家里做菜口味偏重,“没盐不成菜”,腌咸菜、咸肉、咸骨汤都是每天餐桌上的标配。早晨刚起床,她总爱添一碟咸菜配稀饭,儿女多次提醒她,“妈,咱能不能吃淡点?”王阿姨总是笑着摆手:“
“我就每天吃秋葵,血糖就稳下来了,对吧?”这位50岁女性患者在复查时好奇地问医生。 她的血糖水平比几个月前明显改善,心里也明白,单单依赖秋葵并不是血糖控制的“万能钥匙”。 其实,糖尿病并没有什么所谓
“今天想吃土豆丝可以吗?”“土豆炖牛腩也很想尝一尝!”,对于很多有糖尿病的人来说,类似这样的问题很是让人纠结。 土豆,这个餐桌上的百搭明星,因为含有较多淀粉,让不少有糖尿病的人又爱又怕。有一些人一不
1、苦参素注射液: 食管癌的治疗手段主要有手术、放疗、化疗和免疫治疗,提高肿瘤放疗疗效、降低复发和远处转移是中晚期食管癌临床治疗的主要目标。研究表明,单纯手术或放疗,不能够对病变较局限的患者提供长期控