《中国水疗第一人与欧洲水疗第一人:传承与融合》 水疗文化在人类健康史上有着悠久的历史,其理念与实践跨越地域与时代,形成了一种融合自然疗法、科技应用与人文关怀的全球性健康语言。欧洲水疗之父塞巴斯蒂安·克
太原龙城中医医院科普:在日常生活中,我们偶尔会感到腹胀乏力,通常会将其归咎于前一晚熬夜或饮酒过量。但如果这种情况频繁出现,且排除了这些常见因素,那就需要警惕了,因为这有可能是肝硬化的早期信号。 肝硬化
在临汾,当被确诊为肝癌时,患者和家属往往会陷入巨大的恐惧和焦虑之中。然而,太原龙城中医医院(太原中医肝病医院)的肝病医生指出,有 3 类患者相对来说生存期可能更久,大家要树立信心积极应对。 第一类是
“灰指甲”还是“假警报”?陆阿姨差点把脚趾送进手术室 “陆阿姨,你这脚趾甲怎么像小铲子似的?” 楼下跳广场舞的姐妹一句话,把陆阿姨说得心里一咯噔。她低头一看——甲板发黄、厚得像千层饼,走路还隐隐疼。陆
尿酸性肾病是一种常见的代谢性疾病,通过科学的饮食和生活方式调整,可以有效预防该病的发生。本文将为大家介绍每天喝3种水以及做2件事的具体方法,帮助您远离尿酸性肾病的困扰。 第一种水:芹菜汁 每日清晨取2
肌酸的神奇潜力:绝经期女性的新健康伙伴! 你可能以为肌酸只是健身房里‘增肌达人’的专属,但最新研究揭示,它可能是围绝经期和绝经期女性的健康新利器! 女性在绝经期常常面临认知能力下降、情绪波动和代谢问题
【导读】靶向雄激素受体(AR)的转录活性可以克服获得性耐药,但一直具有挑战性。 9月9日,美国克利夫兰诊所与罗斯威尔公园综合癌症中心研究学者合作在期刊《Cell Reports》上发表了一篇论文,题为
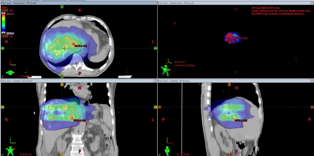
近期,肝胆外科一位患有巨大晚期肝癌并伴有门静脉癌栓的患者,在接受介入治疗及靶免治疗后病情仍有所进展。放疗科在王济东主任的带领下采用创新的晶格放疗(LRT)技术,成功使患者巨大的肿瘤在短期内显著缩小并发
在生物制药和生命科学行业不断变化的背景下,Inizio于本周迎来了新的领导者。瑞安·奎格利(Ryan Quigley)正式接任首席执行官,接替自2022年公司成立以来一直担任这一职务的保罗·塔菲(Pa
导语:比红枣更厉害的“造血菜”,女人这样吃,气血足了,肠道顺畅了,脸色红润更年轻了 姐妹们,都说气血足是女人最好的医美!这话真不假,一个人若是气血充足,就算不化妆,整个人由内而外散发的光彩都藏不住,脸
汉朝初年政治清洗中的悲剧英雄:彭越的军事天才与政治失策 汉高祖刘邦建立汉朝后,为巩固中央集权,开始逐步清除异姓诸侯王势力。在这场政治清洗中,梁王彭越的遭遇尤为令人唏嘘。公元前196年,彭越被指控谋反罪
老赵的“小粉片”奇遇:10分钟见效的“救星”,到底靠不靠谱? “哎哟,老赵,你这是吃了啥灵丹妙药?刚才还蔫头耷脑,现在红光满面地就要去跳广场舞?” 周六傍晚,小区凉亭里,老李头正拉着老赵八卦。老赵嘿
泡脚养生却险些截肢?糖友秋季护足,李蔚主任道出关键细节! 霜降过后,北方气温骤降,热水泡脚成为许多人睡前的“养生必修课”。对于糖尿病患者而言,这份温暖背后却隐藏着风险。近日,兰州瑞京糖尿病医院就接诊了
在与糖尿病的这场持久战中,选对治疗药物至关重要,它不仅关乎血糖的有效控制,更与生活质量及并发症预防紧密相连。当下糖尿病治疗药物市场纷繁复杂,从备受瞩目的创新药 NEGEFO 糖尼格,到临床广泛应用的经
好的,我将按照您的要求对历史类文章进行改写,增加细节描述并扩充至400字以上。以下是一个示例改写: 【原文】 秦始皇统一六国后,推行中央集权制度。他统一文字、货币和度量衡,修建驰道和长城。这些措施加强
“精诚所至,金石为开。尽己所能,为每一位女性患者带来健康和希望,是我从医至今不变的初心。” 名医档案:李贵花,北京北沙滩中医医院副院长,受邀参加过CCTV《我是大医生》栏目。作为中医世家第五代传承
在感情的世界里,我们都渴望被爱、被珍惜,可有时候,现实却并非如此。当男人开始嫌弃你,往往不会直接说出来,但会通过一些细微的信号表现出来。如果女人对这些信号视而不见,很可能陷入更深的痛苦,甚至遭遇背叛。
“飞虫进眼”别大意,我邻居差点丢了一只眼球! “哎哟,小飞虫!”昨晚楼下跳广场舞,刘阿姨一甩手就往眼睛上抹。谁想到第二天一早,她眼皮肿得跟核桃似的,疼得直抽冷气。一问才知道,她碰上的可不是普通蚊子,而
当今世界正处于医疗健康产业深刻变革的时代。人口结构老龄化、慢性病负担加重、技术创新加速以及全球公共卫生体系建设需求的提升,共同推动医疗器械行业进入新一轮增长周期。 从 2025 年至 2030年,全球
强直的发病年龄特点 强直性脊柱炎大多发生在15—35岁之间,这正是学习、工作和成家立业的关键阶段。广州华康中医医院杜鹏主任指出,这一年龄段的发病率明显高于其他年龄组,是强直的一个重要特征。 为什么年轻