临床笔记

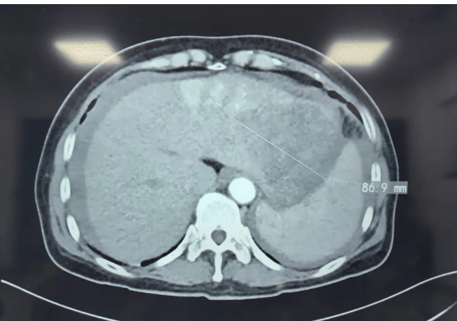
术前影像图
目前,我在河南省人民医院豫东北医院(台前县)工作。前两天,我在门诊碰到一个不明原因突发腹痛的患者。从门诊接诊到完善增强CT(计算机层析成像)确诊肝癌破裂出血,再到完成手术,我和同事用了3个多小时。临床上,肝癌破裂出血患者并不少见,但这个患者让我觉得很特殊。
这个患者当天上午突发腹痛,到当地医院就诊,但未明确诊断,腹痛持续加重。患者及其家属决定转至郑州看病,但因为疼痛剧烈,不得不暂停行程来到河南省人民医院豫东北医院,想处理一下再走。他感觉是胃部疼痛,本来是要到消化内科和普外科门诊就诊的,但是那天下午医院开会,消化内科和普外科主任都不在,于是他来到了介入科。
这个患者究竟是什么病?见到一个患者来就诊,医生需要用眼睛看、用耳朵听、用鼻子闻、用嘴巴问、用手摸,还要动脑筋思考。腹痛的原因有很多,包括消化性溃疡、胆囊炎、胆结石、胃肠炎、消化道穿孔、胰腺炎、尿路结石,甚至心脏病也会引起腹痛。我认真观察,发现他面色晦暗,有贫血面容,一问得知他有长期乙肝病史。他不会是肝癌吧?我想。我让他躺到检查床上,用手摸他的腹部,感觉右上腹有肿块,且有明显的压痛、叩击痛,还有些肌肉紧张。
这个患者可能是肝癌,且可能是肝癌破裂出血。这可是个急症,他随时可能出现致命性大出血。我拿起他在当地医院做的平扫CT,发现肝左叶可见低密度影。如果任由他继续去郑州,随时会因大出血而危及生命。
和患者家属充分沟通后,立即办理住院手续,急诊行增强CT和血液检查。增强CT和血液检查显示肝癌破裂出血。这证实了我的判断。

术后影像图
诊断明确后,我立即安排手术。我给这个患者做了股动脉穿刺,对肝癌破裂出血的责任血管进行选择性栓塞治疗。造影显示出血停止。另外,这样阻断肿瘤的供血,还有“饿死”肝癌细胞的作用。患者转危为安。(作者供职于河南省人民医院)
责编:韦永柔
审核:李伟强
终审:杜海燕