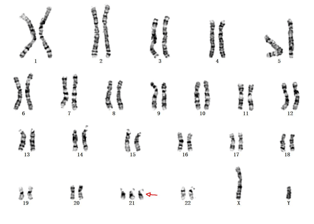
唐氏综合征又称21 - 三体综合征或先天愚型,是最一种由染色体异常而导致的疾病,由人体细胞第21号染色体多了一条,导致染色体总数变为47条。以下从病因、症状、诊断、治疗和预后等方面详细介绍:

1
唐氏综合征的病因:
唐氏综合征主要是由于亲代的生殖细胞在减数分裂或者有丝分裂时,21号染色体不发生分离,导致形成受精卵时,存在3条21号染色体。高龄产妇生育、遗传因素、接触致畸物质(如孕妇接触放射性物质、化学毒物、农药等)、病毒感染等都可能增加发病风险。
2
唐氏综合征的症状有哪些?
① 特殊面容:表情呆滞、鼻梁低平、眼裂小、眼距宽、舌头常伸出口外、外耳小、常张口伸舌、双眼外眦上斜等。
②发育迟缓:染色体病变影响大脑发育,患者智力发育明显落后于同龄人,学习、记忆、语言、思维等能力较差。
③生长发育缓慢:出生时身长和体重均低于同龄孩子,且随着年龄增长,与同龄正常孩子的差距会越来越明显,身体各器官系统发育也受影响。
④肌张力低下:肌肉力量不足,身体柔软,四肢活动时感觉较松弛,运动发育迟缓。
⑤器官发育异常:可能伴有先天性心脏病、胃肠道畸形、生殖器官发育不良等情况,女性患者可能无月经,男性患者可能阴茎短小或者无生育能力等。
⑥皮肤纹路异常:手掌上一般只有一条横贯手掌的纹路。

3
如何进行诊断呢?
孕期可通过产前筛查和诊断技术发现胎儿是否患有唐氏综合征,如唐筛(孕15 – 20+6周抽取母体外周血液,检查甲胎蛋白、人绒毛膜促性腺激素、游离雌三醇等含量并联合孕妇体重、孕周、年龄等基础变量进行综合性判断胎儿出现染色体异常的风险值)、无创DNA检测、羊水穿刺等;出生后可根据患儿的临床表现和染色体核型分析、细胞遗传学检查、荧光原位杂交等检查方式确诊。
4
如何治疗?
临床上无根治方法,主要通过早期干预和综合治疗来提高患儿的生活质量,包括康复训练、特殊教育、药物治疗并发症等,如针对心脏问题可能需要进行手术治疗。
5
预后怎么样?
唐氏综合征患儿的预后取决于病情的严重程度和治疗干预的效果,多数患儿需要长期的照顾和支持。
文 稿:产前诊断中心 杨可可
编 辑:宣传科
审核、校对:吴攸/刘畅
(查看详情)
点它,专栏推荐都在这里


