要把保障人民健康放在优先发展的战略位置,坚持基本医疗卫生事业的公益性,聚焦影响人民健康的重大疾病和主要问题,加快实施健康中国行动,织牢国家公共卫生防护网,推动公立医院高质量发展,为人民提供全方位全周期
小雪日戏题绝句 甲子徒推小雪天,刺梧犹绿槿花然。 融和长养无时歇,却是炎洲雨露偏。 ——唐 张登 小雪节气已至,天气渐寒,人们应该顺应自然,保护好我们的阳气,做好“冬藏精”的准备。这一时节,养生重在“
今日小雪! 小雪,是二十四节气中的第二十个节气。 它不是“大雪纷飞”的小,而是“冬意加深”的小。 意思是:气温再降一阶,降水形态开始从雨变成雪,但雪量还不大。 古人说:“小雪气寒而将雪。”这是一年中“
在全运会U18男篮铜牌争夺战中,上海U18男篮与浙江U18男篮展开了一场激烈的较量。比赛一开始,上海队便展现出了强劲的攻击力,迅速打出了一波11-0的小高潮。李悦洲的表现尤为突出,他几乎凭借一己之力,
标题:它被誉为天然的减肥食材,吃多了也不长肉,女人很少有知道它的。 在追求健康生活的道路上,我们总是在寻找那些既美味又有益于身体的食物。今天,我要为大家介绍一种被广泛认为具有减肥功效的天然食材——紫
胰岛是我们身体里调节血糖的 “关键选手”,它分泌的胰岛素能让血糖平稳运行。可生活中不少常见食物,却在悄悄加重胰岛负担,长期下来可能影响血糖控制。 下面这些 “胰岛破坏者”,或许你每天都在吃,今天,大家
很多中老年人总觉得胸闷、心慌是年纪大的正常反应,忍忍就过去了。可这些容易被忽视的小不适,可能正是冠心病的早期信号。冠心病作为常见的心血管问题,早期症状往往不明显,却藏着关键健康提示,早发现才能早应对。
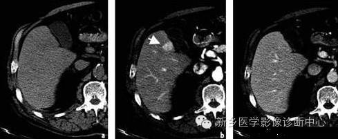
近年来,胰腺癌逐渐成为一种让许多人心生畏惧的疾病,尤其是对于中老年人来说更是一个无法忽视的健康威胁。最近,一位63岁高龄的老人因为胰腺癌不幸去世,许多身边的人都表示惋惜和痛惜。 遗憾的是,胰腺癌的早期
最近,肺癌的发病率持续攀升,尤其是在长期吸烟的人群、空气质量较差的地区,或者有家族遗传史的人群中,这个问题更加突出。 许多人总觉得自己没事,平时只是偶尔咳嗽或者胸闷,晚上睡觉也没什么特别的感觉,但殊不
极目新闻通讯员 胡梦 黎婉婷 “没想到伤口这么小,恢复这么快,还一点都不疼,术后第一天我就能下床吃饭了。”近日,在湖北省中医院(湖北中医药大学附属医院)泌尿外科病房,华中地区首位接受单切口经脐三角腹
11月21日,2025年两院院士增选结果正式揭晓,共有144人当选(全部名单附后)。 此次共选举产生中国科学院院士73人,选举产生中国工程院院士71人。2025年中国科学院新当选外籍院士27人,中国工
“就流点鼻涕而已,不用管吧?”不少养鹅户发现鹅群流鼻涕时,常会因不重视,最终导致病鹅消瘦、产蛋率骤降,甚至批量死亡。实际上,鹅流鼻涕绝非小问题,它既是感冒的典型信号,也可能是细菌、病毒感染的预警,若不
“就像有无数根小针在扎,又麻又痛,晚上根本睡不着,走路像踩棉花,生怕摔跤。”61岁的黄叔(化名)被这种四肢麻木、腰背剧痛的感觉纠缠了20多年。2003年的一场手术。虽为黄叔成功切除了罕见的长节段室管膜
大众卫生报·新湖南客户端11月20日讯(通讯员 邓小明)初冬时节,寒意渐浓,温暖不减。11月14日,衡阳市疾控中心深入结对帮扶的衡阳县井头镇群兴村,开展“三联三促”调研走访与慰问活动,为监测户、脱贫户
北京时间11月20日,NBA常规赛继续进行,火箭客场挑战骑士。火箭目前以9胜3负的成绩,位居西部第三,而骑士则以10胜5负的战绩排在东部第二。这场比赛被视为一场强强对话,双方近期状态都非常出色。如果火
吃晚饭这事儿,说大不大,说小也不小。不少人觉得,反正退休了,爱几点吃就几点吃,晚点吃点儿也没事,有时候为了等孩子回家一起吃,甚至拖到八点以后才动筷子。但其实,真不能这么随便。 尤其是过了六十岁,身体
内容来自: 中国中医药报 作者:袁翠林 许多人饱受入睡困难、心烦燥热、凌晨早醒等失眠问题困扰。从中医角度看,这常与“阴血亏虚”有关。阴血具有濡养、镇静作用,当阴血不足时,易产生虚火,扰动心神导致失眠。
高考成绩出来后,我们应该特别关注那些成绩不理想的同学,因为他们所承受的压力和悲伤,只有亲身经历过高考失败的人才能真正理解。如果你不知道该如何安慰他们,不妨看看晚清名臣曾国藩是如何安慰自己弟弟的。在道光
传统养生智慧认为,冬天对应肾脏,是补肾的黄金期,同时,寒冷的天气也容易导致气血不顺畅,筋骨僵硬。这个时候既要在饮食上做出调整,建议中老年朋友在这个时节适当减少猪牛羊等红肉的摄入。这些肉虽然能提供热量和
小雪时节,植物全株能量因被天刑与地阴双重负能量形成的寒气所逼,而将全部能量内收储存于根内或根块中,因此是采集植物根块的重要时间节点,采药者极其重视这个时间的度与数。 在小雪之前,这种药炁(气)能量收敛